Στο Αιμοδυναμικό Εργαστήριο της Β' Πανεπιστημιακής Καρδιολογικής Κλινικής στο Ιπποκράτειο Νοσοκομείο Θεσσαλονίκης πραγματοποιήθηκαν για πρώτη φορά και με απόλυτη επιτυχία 2 επεμβάσεις σύγκλεισης ωτίου αριστερού κόλπου σε ασθενείς με κολπική μαρμαρυγή οι οποίοι είχαν αντένδειξη στη λήψη αντιπηκτικών. Πρόκειται για επεμβάσεις υψηλής εξειδίκευσης που στοχεύουν στην αποτελεσματική προφύλαξη ασθενών που κινδυνεύουν από εμβολικά επεισόδια λόγω κολπικής μαρμαρυγής αλλά έχουν παράλληλα αντένδειξη να λάβουν αντιπηκτικά φάρμακα λόγω υψηλού αιμορραγικού κινδύνου.
Η συγκεκριμένη θεραπεία μολονότι εφαρμόζεται συχνά στο εξωτερικό, στην ομάδα των ασθενών που έχουν την σχετική ένδειξη, είναι ελάχιστα τα περιστατικά που έχουν αντιμετωπιστεί στον Ελληνικό χώρο και ιδιαίτερα στα δημόσια Νοσοκομεία. Με την επιτυχή έκβαση των δύο αυτών περιστατικών αναδεικνύονται οι δυνατότητες εφαρμογής υψηλής εξειδίκευσης επεμβατικών μεθόδων εντός του Εθνικού Συστήματος Υγείας εφόσον υπάρχουν ομάδες με την ανάλογη εμπειρία.

Η ομάδα του αιμοδυναμικού της Β' Πανεπιστημιακής Καρδιολογικής Κλινικής που συμμετείχε στην επέμβαση. Πέραν του διευθυντού της Κλινικής Καθηγητή Νικολάου Φραγκάκη διακρίνονται ο Επίκουρος Καθηγητής επεμβατικός Γ.Κασσίμης, ο Επιστημονικός Συνεργάτης της Κλινικής και με εκτεταμένη εμπειρία στην συγκεκριμένη επέμβαση Α. Τζίκας καθώς και ο Καθηγητής Jens Erik Nielsen-Kudsk (Aarhus University Denmark) που παρακολούθησε την επέμβαση.

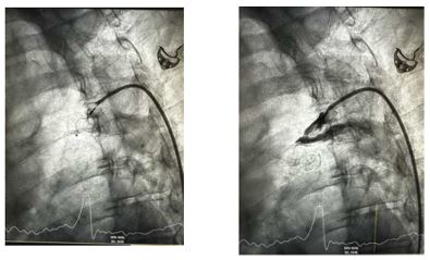
Πρωτοποριακή επέμβαση σύγκλεισης Ανοικτού Βοτάλειου Πόρου
Στο Aιμοδυναμικό εργαστήριο της Β' Πανεπιστημιακής Καρδιολογικής Κλινικής στο Ιπποκράτειο Νοσοκομείο Θεσσαλονίκης πραγματοποιήθηκε για πρώτη φορά και με απόλυτη επιτυχία επέμβαση Σύγκλεισης Ανοικτού Βοτάλειου Πόρου. Η επέμβαση έγινε σε ενήλικα ασθενή με προσπέλαση από την αορτική πλευρά της επικοινωνίας και στη συνέχεια επιτυχή τοποθέτηση της συσκευής όπως επιβεβαιώνεται και αγγειογραφικά στις παρακάτω εικόνες.

Ακτινοσκοπικές λήψεις από την τοποθέτηση της συσκευής σύγκλεισης του Βοτάλειου Πόρου και η επιβεβαίωση της πλήρους σύγκλεισης μετά από χορήγηση σκιαστικού.
Η ομάδα του αιμοδυναμικού της Β' Πανεπιστημιακής Καρδιολογικής Κλινικής που συμμετείχε στην επέμβαση. Πέραν του διευθυντού της Κλινικής Καθηγητή Νικολάου Φραγκάκη διακρίνονται ο Επιστημονικός Συνεργάτης της Κλινικής και με εκτεταμένη εμπειρία στην συγκεκριμένη επέμβαση Απόστολος Τζίκας καθώς και τα μέλη της κλινικής ειδικευόμενοι κ Γ. Ζορμπάς και Α. Σαμαράς, η υπεύθυνη του αιμοδυναμικού κ Π. Μπόνια και οι νοσηλευτές Α. Μπρέστας και Κ. Μαναβίδου.

Ειδήσεις υγείας σήμερα
Η καινοτομία μετασχηματίζει τη φροντίδα υγείας: Οφέλη για τους ασθενείς, το σύστημα υγείας και την οικονομία
Πιθανοί κίνδυνοι του κολλαγόνου
“Reflections”: Το Keele University ανοίγει έναν νέο κύκλο διαλόγου για την επιστήμη και την κοινωνία