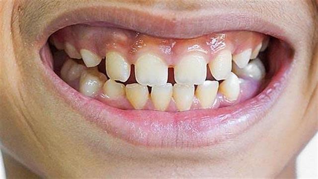
Περισσότεροι από ένας στους 12 ανθρώπους γεννιούνται με λιγότερα δόντια από το φυσιολογικό, με συνέπεια τα δόντια τους να φαίνονται πιο αραιά ή πιο μικρά και μυτερά. Η κατάσταση αυτή λέγεται ολιγοδοντία και σε πολλές περιπτώσεις είναι κληρονομική.

Επειδή η έλλειψη δοντιών πολλές φορές αφορά την πιο ευαίσθητη αισθητικά περιοχή του ανθρώπου, το μέσο πρόσωπο, είναι εξαιρετικά σημαντική η σωστή αντιμετώπισή της.

Η έλλειψη των δοντιών συνήθως γίνεται αντιληπτή κατά την παιδική ηλικία, όταν αρχίζουν να ανατέλλουν τα μόνιμα δόντια και διαπιστώνεται ότι υπάρχουν κενά ανάμεσά τους.

Η διαφορά από την εμφάνιση των συνομηλίκων τους μπορεί να επηρεάσει την αυτοπεποίθηση και την αυτοεκτίμηση των παιδιών με ολιγοδοντία, ιδιαίτερα αν τα αραιά δόντιά τους γίνουν αντικείμενο πειραγμάτων και αρνητικών σχολίων. Έχει παρατηρηθεί ότι αυτό είναι πιθανότερο να συμβεί γύρω στην ηλικία των 9 ετών, όταν τα παιδιά αρχίζουν να συνειδητοποιούν την διαφορετικότητά τους και απογοητεύονται.

Εκτός, όμως, από τις συνέπειες στην ψυχοκοινωνική σφαίρα, η έλλειψη των δοντιών μπορεί να έχει και λειτουργικούς περιορισμούς, κυρίως εάν απουσιάζουν αρκετά δόντια.

Όπως εξηγεί η Δρ. Κατερίνα Δούμα-Μιχελάκη, DDS, PhD, ειδική Ορθοδοντικός Παιδιών & Ενηλίκων, η ολιγοδοντία είναι η πιο συχνή αναπτυξιακή διαταραχή της μόνιμης οδοντοφυΐας και ο επιστημονικός όρος είναι «συγγενής έλλειψη δοντιών».     Στην καυκάσια φυλή έχει ποσοστό 2-10%, με μεγαλύτερη συχνότητα στις γυναίκες. Τα δόντια με τα μεγαλύτερα ποσοστά συγγενούς ελλείψεως είναι οι 3οι γομφίοι (φρονιμίτες), οι 2οι κάτω προγόμφιοι (βρίσκονται στα πλάγια του στόματος) και άνω πλάγιοι τομείς (είναι τα δόντια δεξιά και αριστερά από τα κεντρικά δόντια της άνω γνάθου).

Υπάρχουν και περιπτώσεις με μεγάλο αριθμό δοντιών που λείπουν και πολλές από αυτές συνδέονται με κάποιο σύνδρομο εξωδερμικής δυσπλασίας ή με συστηματικές ασθένειες όπως η σύφιλη, η νόσος Ricketts κ.ά.

Η ολιγοδοντία μπορεί εύκολα να διαγνωστεί με μια πανοραμική ακτινογραφία, η οποία αποκαλύπτει αν τα δόντια που απουσιάζουν είναι έγκλειστα στο οστό της γνάθου ή δεν υπάρχουν καθόλου.

Πού οφείλεται όμως η εκ γενετής (συγγενής) έλλειψη των δοντιών; «Η ακριβής αιτία της δεν είναι γνωστή, αλλά πιστεύεται ότι είναι μία πολυπαραγοντική κατάσταση που έχει γενετικές και περιβαλλοντικές συνιστώσες», απαντά η Δρ. Δούμα-Μιχελάκη. «Τα έως τώρα επιστημονικά δεδομένα δείχνουν ότι στην ανάπτυξή της παίζουν ρόλο πολλαπλά γονίδια (έχουν συσχετισθεί πάνω από 200),  με συχνότερα συσχετιζόμενα τα MSX1, PAX9, AXIN2 κ.ά. Σημαντικοί περιβαλλοντικοί παράγοντες που μπορεί να συμβάλλουν στην ανάπτυξή της είναι σοβαρές διαταραχές διατροφής κατά την κύηση ή την βρεφική ηλικία, καθώς και το κάπνισμα της μητέρας στη διάρκεια της εγκυμοσύνης, σύμφωνα με πρόσφατες έρευνες. Σε πολλές περιπτώσεις, υπάρχει οικογενειακό ιστορικό ολιγοδοντίας ενώ σε άλλες δεν ανευρίσκεται κάποια αιτία».

Αν και ακριβή στοιχεία για τη συχνότητά της δεν υπάρχουν, μία έρευνα που είχε πραγματοποιηθεί πριν από αρκετά χρόνια στο Αριστοτέλειο Πανεπιστήμιο Θεσσαλονίκης είχε καταλήξει στο συμπέρασμα ότι ποσοστό 8,4% του ελληνικού πληθυσμού έχει ολιγοδοντία.

Η θεραπευτική αντιμετώπισή της εξαρτάται από την ηλικία του πάσχοντος και τον αριθμό και την θέση των δοντιών που απουσιάζουν. «Οριστικές αποφάσεις για τη θεραπεία συνήθως δεν λαμβάνονται, εάν δεν ολοκληρωθεί η αντικατάσταση των νεογιλών δοντιών από τα υπάρχοντα μόνιμα, κάτι που συνήθως συμβαίνει έως τα πρώτα χρόνια της εφηβείας (12-14 ετών)», εξηγεί η Δρ. Δούμα-Μιχελάκη.

Η αισθητική διαταραχή που προκύπτει από την συγγενή έλλειψη προσθίων δοντιών είναι συνήθως πολύ ενοχλητική και τις περισσότερες φορές είναι απαραίτητη η συνεργασία πολλών οδοντιατρικών ειδικοτήτων για ένα άριστο αποτέλεσμα. 

Επειδή κάθε περίπτωση είναι διαφορετική, πρέπει από νωρίς να αποφασισθεί αν στο συγκεκριμένο τύπο προσώπου είναι καλύτερη μια προσθετική αποκατάσταση (που θα γίνει αργότερα) ή μια συμπλησίαση των διπλανών δοντιών ώστε να καλυφθούν τα κενά. Η απόφαση αφορά τον ασθενή, τον ορθοδοντικό και τον οδοντίατρο ή προσθετολόγο.

Η ορθοδοντική θεραπεία γίνεται για να ισιώσουν τα δόντια και να μικρύνει το κενό ανάμεσά τους ή για να δημιουργηθεί χώρος για να τοποθετηθεί μια οδοντική γέφυρα ή εμφύτευμα.

Όταν μικρύνει ικανοποιητικά το κενό ανάμεσα στα δόντια, μπορεί να ακολουθήσει προσθετική παρέμβαση με ρητίνες ή όψεις πορσελάνης ώστε να γίνει πιο συμμετρική η  οδοντοστοιχία, να καλυφθούν πλήρως τα κενά και να αποκτήσουν τα δόντια που μετακινήθηκαν μορφολογία παρόμοια με εκείνη των δοντιών που λείπουν.

Αν επιλεγεί η λύση της τοποθέτησης οδοντικής γέφυρας ή εμφυτευμάτων, το παιδί πρέπει να περιμένει να ενηλικιωθεί. Στο μεσοδιάστημα, το κενό ανάμεσα στα δόντια του αντιμετωπίζεται είτε με μια κινητή ορθοδοντική συσκευή (μέσα στην οποία στερεώνεται ένα ακρυλικό δόντι), είτε με προσκόλληση ακρυλικού δοντιού στον ακίνητο ορθοδοντικό μηχανισμό του ή με ήπιες προσθετικές αποκαταστάσεις τύπου Μaryland.

Με την μεγάλη εξέλιξη της ορθοδοντικής σε «αόρατες» τεχνολογίες, ακόμα κι αν δεν γίνει ορθοδοντική θεραπεία στην παιδική ηλικία και το άτομο ενηλικιωθεί, μπορεί αργότερα στη ζωή να αντιμετωπίσει την έλλειψη των δοντιών με συνδυασμό ορθοδοντικής και προσθετικής, ώστε να αποκτήσει το υγιές χαμόγελο που επιθυμεί, καταλήγει η Δρ. Δούμα-Μιχελάκη.

Ειδήσεις υγείας σήμερα
Η καινοτομία μετασχηματίζει τη φροντίδα υγείας: Οφέλη για τους ασθενείς, το σύστημα υγείας και την οικονομία
Πιθανοί κίνδυνοι του κολλαγόνου
“Reflections”: Το Keele University ανοίγει έναν νέο κύκλο διαλόγου για την επιστήμη και την κοινωνία