Στη δωρεά ενός καρδιολογικού υπερηχογράφου στο Γενικό Νοσοκομείο -Κέντρο Υγείας Καλύμνου προχώρησε πρόσφατα ο όμιλος Euromedica, προκειμένου να συμβάλει στη βελτίωση των υπηρεσιών υγείας στο νησί.

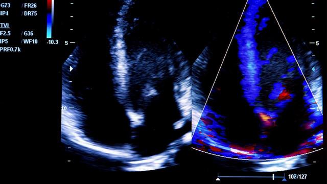
H δωρεά πραγματοποιήθηκε κατόπιν σχετικού αιτήματος του Πανελλήνιου Ιατρικού Συλλόγου, σε ανταπόκριση σχετικών επιστολών του Διευθυντή του Καρδιολογικού Τμήματος του ΓΜ-ΚΥ Καλύμνου, καθώς και του Ιατρικού Συλλόγου Καλύμνου. Πρόκειται για καρδιολογικό υπερηχογράφο της εταιρίας GE, μοντέλο Vivid 7 PRO με ηχοβόλο κεφαλή, ο οποίος προέρχεται από το διαγνωστικό κέντρο της Euromedica στο Γαλάτσι Αττικής. Ο υπερηχογράφος θα συνδράμει το έργο τoυ Νοσοκομείου- Κέντρου Υγείας Καλύμνου στη μάχη που δίνει καθημερινά για την προάσπιση της υγείας των κατοίκων του νησιού, ιδιαίτερα κατά την τρέχουσα συγκυρία με την πανδημία Covid-19.

Το μηχάνημα θα αντικαταστήσει τον παλαιό υπερηχογράφο της μονάδας στην Κάλυμνο. Ο όμιλος Euromedica, ο οποίος λειτουργεί με τη στήριξη του αμερικανικού επενδυτικού κεφαλαίου Farallon, είναι από τους μεγαλύτερους ιδιωτικούς παρόχους υπηρεσιών πρωτοβάθμιας και δευτεροβάθμιας υγείας στη χώρα, με κλινικές και ευρύ δίκτυο διαγνωστικών κέντρων σε αρκετές περιοχές της Ελλάδας.

Ειδήσεις υγείας σήμερα
Χρόνια ιγμορίτιδα με ρινικούς πολύποδες: Νέες θεραπείες βελτιώνουν ουσιαστικά την ποιότητα ζωής
Αγιασμός θεμελίων νέου κτηριακού συγκροτήματος στο "Αττικόν" - Δωρεά Ιδρύματος Σταύρος Νιάρχος
Η σοβαρή ανδρική υπογονιμότητα αυξάνει τον κίνδυνο καρκίνου παχέος εντέρου και θυρεοειδούς [μελέτη]