Ολοκληρώθηκε πρόσφατα η διαπραγμάτευση για την λεναλιδομίδη που είναι ένα ανοσορυθμιστικό φάρμακο και δρα με πολλούς διαφορετικούς τρόπους στο πολλαπλό μυέλωμα.

Κατά πληροφορίες ο νέος προϋπολογισμός διαμορφώθηκε πέριξ των 31 εκατ. ευρώ και σε αυτό το ποσό περιλαμβάνεται τμήμα του προηγούμενου προϋπολογισμού που ακυρώθηκε, καθώς η ισχύς του ήταν μέχρι τα τέλη Ιουνίου του 2022, προκειμένου έτσι να μπουν και νέα σκευάσματα στην αγορά. Φήμες αναφέρουν ότι μέσω της νέας διαπραγμάτευσης εξοικονομήθηκαν σημαντικά κονδύλια προς όφελος της υγείας του ασθενή, καθώς ο προηγούμενος προϋπολογισμός ήταν στα 50 εκατ. ευρώ περίπου. Υπογραμμίζεται ότι στη συγκεκριμένη διαπραγμάτευση συμμετείχαν 9 εταιρείες. 

Πάντα με ανεπιβεβαίωτες πληροφορίες οι ασθενείς που θα λάβουν λεναλιδομίδη ανέρχονται σε περίπου 1.800 και η τιμή ανά σκεύασμα -κατά μέσο όρο- στα 1.450 με 1.500 ευρώ το κουτί από περίπου 2.100 που ήταν την προηγούμενη περίοδο.

Κι ενώ μέχρι και λίγο πριν κλείσει η διαπραγμάτευση δεν είχε ξεκαθαρίσει αν οι νέοι παίκτες θα απευθύνονταν μόνο στα νέα περιστατικά και όχι στα παλιά τελευταία πληροφόρηση αναφέρει ότι θα ασχοληθούν με το σύνολο των περιστατικών παλιών και νέων. Σημειώνεται ότι κάθε χρόνο, τα νέα περιστατικά που προκύπτουν ανέρχονται στα 620 περίπου. Καθώς το φάρμακο αυτό απαιτεί ιδιαίτερο σύστημα παρακολούθησης  συμφωνήθηκε μεταξύ των συμβαλλομένων μερών να δημιουργηθεί μία φόρμα χορήγησης του την οποία και θα πρέπει να υπογράφουν ο γιατρός και ο φαρμακοποιός του ΕΟΠΥΥ. 

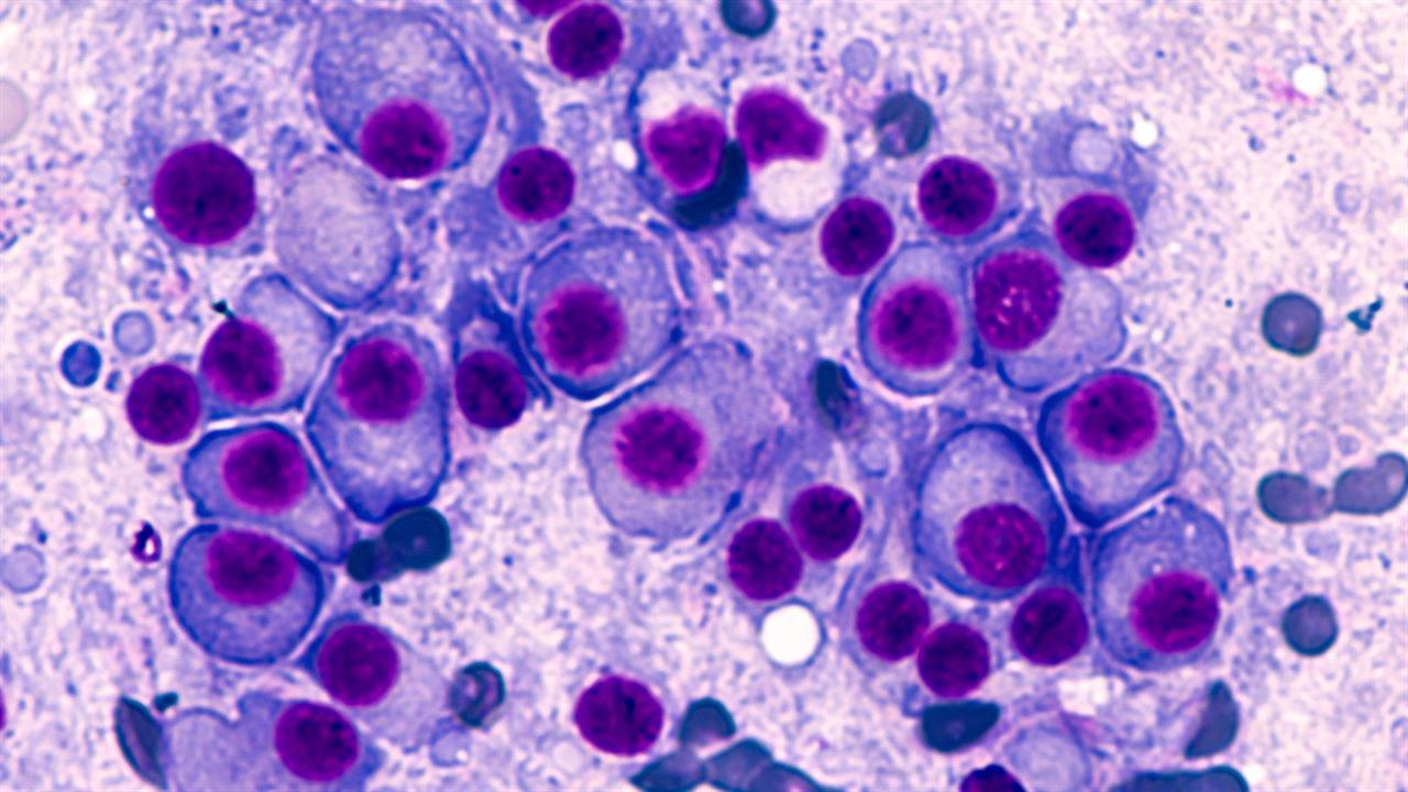
Τι είναι το πολλαπλό μυέλωμα

Το πολλαπλούν μυέλωμα είναι μια αιματολογική κακοήθεια που οφείλεται στον ανεξέλεγκτο πολλαπλασιασμό των πλασματοκυττάρων (κύτταρα που παράγουν αντισώματα) στο μυελό των οστών. Αποτελεί τη δεύτερη συχνότερη αιματολογική κακοήθεια και οι περισσότεροι ασθενείς παρουσιάζουν κατά τη διάγνωση αναιμία, οστικά άλγη, επιδείνωση της νεφρικής λειτουργίας ή υπερασβεσταιμία, ενώ είναι ιδιαίτερα ευαίσθητοι στις λοιμώξεις. Δεν είναι σπάνια νόσος, καθώς  αντιστοιχεί περίπου στο 10% του συνόλου των αιματολογικών κακοηθειών. Σήμερα περίπου 39.000 άνθρωποι διαγιγνώσκονται με πολλαπλούν μυέλωμα στην Ευρώπη κάθε χρόνο, ενώ περίπου 24.000 ασθενείς καταλήγουν από τη νόσο ετησίως. Η διάμεση ηλικία διάγνωσης στην Ευρώπη είναι τα 65-70 έτη.

Ειδήσεις υγείας σήμερα
Αυξημένος κίνδυνος κατάποσης ξένων σωμάτων από παιδιά την περίοδο των Χριστουγέννων
GLP-1 αγωνιστές: Πιθανή προστασία των οστών σε άτομα με σακχαρώδη διαβήτη τύπου 2 [Μελέτη]
Αναστάτωση για τη Μονάδα τεχνητού νεφρού του νοσοκομείου Χαλκιδικής