Οι πρώτοι Έλληνες ασθενείς έχουν ήδη πρώιμη πρόσβαση σε καινοτόμο αντικαρκινική θεραπεία μέσω ΙΦΕΤ. Πρόκειται για το Pepaxti (Melphalan flufenamide) σε συνδυασμό με τη δεξαμεθαζόνη (Κορτικοστεροειδές) που έχει εγκριθεί για τη θεραπεία του τριπλά ανθεκτικού Πολλαπλού Μυελώματος στην Ευρώπη.

Πρόκειται για ένα φάρμακο που είναι κατάλληλο για ενήλικες ασθενείς που έχουν πρώτα λάβει τρεις γραμμές θεραπείας αλλά η νόσος τους έχει υποτροπιάσει.

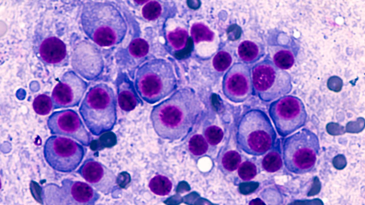
Το Πολλαπλό Μυέλωμα εμφανίζεται όταν τα πλασματοκύτταρα, ένας τύπος λευκών αιμοσφαιρίων, γίνονται καρκινικά και αναπτύσσονται ανεξέλεγκτα στον μυελό των οστών, στον σπογγώδη ιστό μέσα στα οστά. Τα πλασματοκύτταρα γεμίζουν τον μυελό των οστών, χωρίς να αφήνουν χώρο για τη δημιουργία υγιών αιμοσφαιρίων και μπορούν επίσης να βλάψουν το ίδιο το οστό.

Ενώ υπάρχουν εγκεκριμένες θεραπείες που βοηθούν στον έλεγχο των πλασματοκυττάρων και στην ανακούφιση των συμπτωμάτων του Πολλαπλού Μυελώματος, εντούτοις ορισμένοι ασθενείς αποτυγχάνουν να ανταποκριθούν σε αυτές και θεωρούνται ότι έχουν ανθεκτική νόσο.

Μετά από την έκθεση των ασθενών σε άλλες θεραπείες, μια υποτροπή της νόσου αποτελεί μεγάλη πρόκληση. Όταν η νόσος είναι ανθεκτική σε τουλάχιστον έναν αναστολέα πρωτεασώματος, έναν ανοσοτροποποιητή και έναν αναστολέα CD38 και έχει προχωρήσει κατά τη διάρκεια ή μετά την τελευταία γραμμή θεραπείας, το melphalan flufenamide μπορεί να αποτελεί ουσιαστική θεραπευτική επιλογή.

Επίσης μπορεί να είναι αποτελεσματικό σε ασθενείς που υποβλήθηκαν σε μεταμόσχευση αυτόλογων βλαστοκυττάρων και υπάρχει εξέλιξη της νόσου τρία ή περισσότερα χρόνια μετά τη μεταμόσχευση.

Το Melphalan Flufenamide αποτελείται από μελφαλάνη, ένα φάρμακο που έχει ήδη εγκριθεί για το Πολλαπλό Μυέλωμα, σε συνδυασμό με τη φλουφεναμίδη.

Ο καινοτόμος τρόπος που λειτουργεί είναι με το να εισάγει τον παράγοντα που σκοτώνει τον καρκίνο με τη βοήθεια ενός πεπτιδίου μέσα στα κύτταρα που πολλαπλασιάζονται ανεξέλεγκτα. Στο εσωτερικό των καρκινικών κυττάρων υπάρχουν αυξημένα κάποια ένζυμα που λέγονται αμινοπεπτιδάσες τα οποία απελευθερώνουν το φάρμακο να δράσει στο εσωτερικό των κυττάρων.

Με αυτόν τον τρόπο, η θεραπεία έχει σχεδιαστεί για να στοχεύει και να καταστρέφει κατά προτίμηση καρκινικά κύτταρα που περιέχουν υψηλές ποσότητες από αυτά τα ένζυμα, ενώ τα υγιή κύτταρα γλιτώνουν κάτι που προσφέρει υψηλή αποτελεσματικότητα, περιορίζοντας τις ανεπιθύμητες ενέργειες.

Σημειώνεται ότι η θεραπεία είναι προϊόν έρευνας της Σουηδικής εταιρίας Oncopeptides.

Πρόκειται για μια εταιρεία βιοτεχνολογίας που εστιάζει στην έρευνα και ανάπτυξη καινοτόμων θεραπειών για δύσκολες στη θεραπεία αιματολογικές ασθένειες, και έχει αναπτύξει μια θεραπευτική πλατφόρμα με βάση την τεχνολογία των ογκοπεπτιδίων (Peptide Drug Conjugate, PDC) αλλά έχει σε εξέλιξη και άλλες πρωτοποριακές φαρμακευτικές τεχνολογίες όπως Μικρά πολυπεπτίδια και τα λεγόμενα Natural Killer Engagers για τη θεραπεία του Πολλαπλού Μυελώματος στο μέλλον.

Η εταιρία Oncopeptides έχει συνεργασία για την Ελλάδα και την Κύπρο με την εταιρία Ariti S.A., θέλοντας να εξασφαλίσει την πρόσβαση των ασθενών με αιματολογικές κακοήθειες σε καινοτόμες θεραπείες.

Ειδήσεις υγείας σήμερα
ΕΕ: Καλεί την Ελλάδα να ενσωματώσει οδηγία κατά της σεξουαλικής κακοποίησης παιδιών
Ποια είναι η καλύτερη ώρα για να φάμε αμύγδαλα
‘’Άλμα Ζωής’’ Ν.Θεσσαλονίκης - Βιωματική Ημερίδα με θέμα ‘’Καρκίνος του Μαστού: Άλματα Ζωής μέσα από διαλόγους’’