‘Υφεση παρουσίασε η λευχαιμία Αμερικανού ασθενή όταν αντιμετώπισε έναν ασυνήθιστο εχθρό: Τον ιό HIV.

Ο ασθενής συναντήθηκε με ομάδα του πανεπιστημίου της Πενσυλβάνια όπου πρόσφατη δουλειά πέτυχε εκπληκτικά αποτελέσματα έναντι της νόσου.

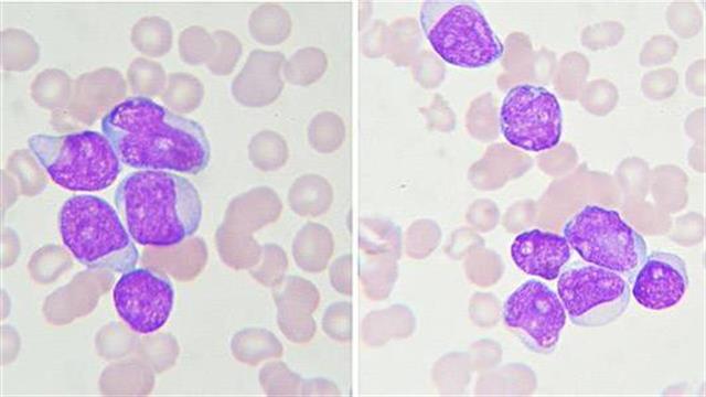
Οι ερευνητές χρησιμοποίησαν ασυνήθιστη τεχνική για την αντιμετώπιση της λευχαιμίας απομακρύνοντας δισεκατομμύρια Τ- κύτταρα από τον οργανισμό του ασθενούς και αντιμετωπίζοντας το DNA τους με αβλαβή μορφή του HIV.

Ο Carl June, εξηγεί την αγωγή. Είναι ανενεργός ιός, δήλωσε, αλλά διατηρεί ένα αναγκαίο στοιχείο του HIV, που είναι η ικανότητά του να εισάγει νέα γονίδια στα κύτταρα.

Η αγωγή ώθησε τα Τ- κύτταρα που επεστράφησαν στον οργανισμό του ασθενή να αρχίζουν να εντοπίζουν και να καταστρέφουν τον καρκίνο. Μετά τον αναπρογραμματισμό έγιναν εξολοθρευτές ειδικά για τη λευχαιμία.

Τα αναπρογραμματισμένα κύτταρα είναι εν υπνώσει, και θα ξυπνήσουν όταν ο καρκίνος επιστρέψει.

Πηγές:
Ξένος τύπος.

Ειδήσεις υγείας σήμερα
Η βαριά κατανάλωση αλκοόλ συνδέεται με καρκίνο παγκρέατος σε νεαρή ηλικία
Οικονομική στήριξη από παιδιάτρους στους ασθενείς με Long Covid
Γεωργιάδης: Οι δωρεάν προληπτικές μαστογραφίες θα συνεχιστούν με εθνικούς πόρους μετά το Ταμείο Ανάκαμψης