Έως και σήμερα εξακολουθεί να παραμένει διαδεδομένη στον ιατρικό κόσμο, ακόμα δε και σε πολλούς επαγγελματίες Ρεφλεξολόγους, η άποψη ότι η επιστημονική έρευνα στο αντικείμενο της Ρεφλεξολογίας δεν υφίσταται καν.
Στην πραγματικότητα, η έρευνα στη Ρεφλεξολογία έχει ξεκινήσει ήδη από το 1993.
Συνοπτική αναφορά στη διεθνή ερευνητική δραστηριότητα στη Ρεφλεξολογία
Από το 1993 έως και σήμερα, η ερευνητική δραστηριότητα στη Ρεφλεξολογία αδιάλειπτα υλοποιείται σε όλο και περισσότερες χώρες, ενώ εξελίσσεται διαρκώς, τόσο στο μέγεθος όσο και στην πολυπλοκότητα και την εξειδίκευση των θεμάτων μελέτης της.
Η πρώτη επιστημονική έρευνα με αντικείμενο τη Ρεφλεξολογία πραγματοποιήθηκε από τους T.Oleson και W.Flocco στις ΗΠΑ.
Επρόκειτο για μία τυχαιοποιημένη ελεγχόμενη μελέτη με θέμα την επίδραση της Ρεφλεξολογίας στην αντιμετώπιση του Προεμμηνορρυσιακού Συνδρόμου (PMS).
Ολοκληρώθηκε το 1993 και την ίδια χρονιά δημοσιεύθηκε στο ιατρικό περιοδικό ‘Obstetrics and Gynecology’ [1].
Έως και σήμερα διεθνώς, έχει υλοποιηθεί ένας σημαντικός αριθμός ερευνητικών μελετών με αντικείμενο τη Ρεφλεξολογία.
Η πλειοψηφία των ερευνών έχει διενεργηθεί σε Νοσοκομεία και Ιατρικές Σχολές Πανεπιστημίων στην Κίνα.
Εκτός από την Κίνα, ερευνητική δραστηριότητα στη Ρεφλεξολογία έχει πραγματοποιηθεί και συνεχώς αναπτύσσεται, στη Δανία, τη Μ. Βρετανία, την Κορέα, τη Μαλαισία, την Αυστραλία κ.α.
Η επιστημονική ποιότητα και πληρότητα αρκετών από αυτές τις ερευνητικές μελέτες, οδηγεί σε δημοσίευσή τους σε έγκριτα ιατρικά περιοδικά, πράγμα που ταυτόχρονα αποτελεί δείγμα του συνεχώς αυξανόμενου ενδιαφέροντος και σεβασμού του ιατρικού κόσμου διεθνώς προς τη Ρεφλεξολογία.
Είναι χαρακτηριστικό ότι η προαναφερθείσα πρώτη έρευνα Ρεφλεξολογίας, εξακολουθεί να αναδημοσιεύεται (Annals of The New York Academy of Sciences, 2003, International Journal of Neuroscience, 2004, κ.α.).
Έρευνα στη Ρεφλεξολογία και Ευρωπαϊκή Ένωση
Στην Ευρωπαϊκή Ένωση, εδώ και αρκετά χρόνια επίσημα παροτρύνεται η υλοποίηση επιστημονικών ερευνών όχι μόνον στη Ρεφλεξολογία αλλά στις συμπληρωματικές και εναλλακτικές θεραπείες συνολικά, μέσω ενός ερευνητικού πλαισίου το οποίο έχει διατυπωθεί και προταθεί από:
- Την έκθεση Lannoye.
- Το Πρόγραμμα κοινοτικής δράσης για την Υγεία για το 2008-2013.
Αναλυτικότερα:
Το 1996, κατατέθηκε από τον ευρωβουλευτή Paul Lannoye, μέλος της Επιτροπής για το Περιβάλλον την Δημόσια Υγεία και την Προστασία του Καταναλωτή του Ευρωπαϊκού Κοινοβουλίου, μία έκθεση που αφορούσε στις συμπληρωματικές και εναλλακτικές θεραπείες, γνωστή ως έκθεση Lannoye (Lannoye report ), η οποία ψηφίστηκε από την Επιτροπή στις 27 Φεβρουαρίου του 1997.
H έκθεση αυτή, μεταξύ άλλων προέβαινε στη σύσταση να οριστούν με σαφήνεια οι μορφές θεραπειών που δεν εντάσσονται στο πεδίο της συμβατικής θεραπείας και για τον σκοπό αυτό, αφ’ ενός να πραγματοποιηθούν κλινικές δοκιμές για την αξιολόγησή τους και αφ’ ετέρου να ενθαρρυνθεί η επιστημονική και η ακαδημαϊκή έρευνα σχετικά με αυτές.
Έκτοτε έως και σήμερα, στην Ευρωπαϊκή Ένωση - κυρίως στη Δανία και τη Μ. Βρετανία, έχουν σημαντικά ενταθεί οι επιστημονικές ερευνητικές προσπάθειες, με απώτερο σκοπό τη θεσμική οριοθέτηση και επαγγελματική κατοχύρωση της Ρεφλεξολογίας ως θεραπευτικής αγωγής στην Ευρωπαϊκή Ένωση.
Ευρήματα τέτοιων ερευνητικών μελετών, θα αποτελέσουν μια επιπλέον συνεισφορά, στην προσπάθεια να επιτευχθεί η ένταξη της Ρεφλεξολογίας στις ασφαλιστικές παροχές για την υγεία, μιας κι ο αριθμός των ατόμων που επιλέγουν να διαχειριστούν τα προβλήματα υγείας τους με τη Ρεφλεξολογία και τις άλλες εναλλακτικές και συμπληρωματικές θεραπείες αυξάνεται ραγδαία στην Ευρώπη.
Σύμφωνα με την Απόφαση αριθ. 1350/2007/ΕΚ του Ευρωπαϊκού Κοινοβουλίου και του Συμβουλίου της 23ης Οκτωβρίου 2007, που αφορά στη θέσπιση προγράμματος κοινοτικής δράσης στον τομέα της Υγείας για την περίοδο 2008-2013, δημοσιευμένη στην Επίσημη Εφημερίδα της Ευρωπαϊκής Ένωσης την 20.11.2007, το εδάφιο 24, σελ.5, αναφέρει τα παρακάτω:
'Το πρόγραμμα θα πρέπει να αναγνωρίζει τη σημασία μιας ολιστικής προσέγγισης στη δημόσια υγεία και να λαμβάνει υπ’ όψιν στις δράσεις του τη συμπληρωματική και εναλλακτική ιατρική, όπου αρμόζει και όπου υπάρχουν επιστημονικά ή κλινικά στοιχεία για την αποτελεσματικότητά της'.
Το πρόγραμμα, αναγνωρίζει τη σημαντικότητα της συνεισφοράς των ολιστικών, δηλαδή των συμπληρωματικών και εναλλακτικών προσεγγίσεων στη δημόσια υγεία.
Θέτει όμως ως προαπαιτούμενο για την απόδειξη της αποτελεσματικότητας της κάθε θεραπείας, επομένως και της Ρεφλεξολογίας, την ύπαρξη επιστημονικών ή κλινικών στοιχείων για κάθε μία από αυτές.
Σχετικά πρόσφατα, άρχισε εντός της ΕΕ, η εφαρμογή του προγράμματος CAMbrella
[http://www.cambrella.eu/home.php].
Το πρόγραμμα CAMbrella, είναι το πρώτο επιδοτούμενο από την ΕΕ πρόγραμμα έρευνας για τις εναλλακτικές και συμπληρωματικές θεραπείες. Υλοποιείται με την επιστημονική συνεργασία Ερευνητικών Ινστιτούτων, καθώς και Τμημάτων Ιατρικών Σχολών Πανεπιστημίων τής Ευρώπης.
Η εφαρμογή του ξεκίνησε την 1η Ιανουαρίου του 2010, έχει 3ετή διάρκεια, επιδοτείται με 1,5 εκατομμύριο ευρώ και συμμετέχουν ήδη σε αυτό 12 χώρες της ΕΕ.
Σημασία της Έρευνας στη Ρεφλεξολογία για την Ελλάδα
Είναι γεγονός ότι το ενδιαφέρον των Ελλήνων για τη Ρεφλεξολογία αλλά και για τις υπόλοιπες συμπληρωματικές και εναλλακτικές θεραπείες συνεχώς αυξάνεται.
Είναι χαρακτηριστικό ότι, σύμφωνα με επίσημη στατιστική έρευνα αναφορικά με τις συμπληρωματικές και εναλλακτικές θεραπείες, που πραγματοποιήθηκε στην Ελλάδα και δημοσιεύτηκε στο περιοδικό 'Ιατρικά Χρονικά' το 1996, το 31,3% των κατοίκων του Λεκανοπεδίου Αττικής, τουλάχιστον μία φορά είχε αναζητήσει λύση σε πρόβλημα υγείας του μέσω μίας συμπληρωματικής ή εναλλακτικής θεραπείας.
Όμως παρά τα ενθαρρυντικά αυτά στοιχεία, η πραγματικότητα είναι ότι η Ρεφλεξολογία στην Ελλάδα σήμερα, παραμένει για το ευρύτερο φάσμα του γενικού πληθυσμού μία σχεδόν άγνωστη θεραπεία, θα έλεγε κανείς μία άγνωστη έννοια.
Για την πλειοψηφία του ελληνικού πληθυσμού, η Ρεφλεξολογία εξακολουθεί να αποτελεί μία άγνωστη προσέγγιση στην αντιμετώπιση των προβλημάτων υγείας του, ή τουλάχιστον ξένη από την οικεία και αποδεκτή ιατροφαρμακευτική θεραπεία.
Είναι πραγματικότητα ότι τα ιαματικά λουτρά, η βοτανοθεραπεία, οι βεντούζες, οι εντριβές κ.α., ανήκουν στην ελληνική παραδοσιακή θεραπευτική αιώνων και δεν έπαψαν ποτέ να χαίρουν της εκτίμησης και της εμπιστοσύνης των απλών ανθρώπων, σε ό,τι αφορά τον προσανατολισμό της οδού που ακολουθούν προς την φροντίδα και την διατήρηση της υγείας τους.
Παρά το γεγονός όμως ότι αυτός ο τρόπος προσέγγισης της Υγείας, είναι αντίστοιχος και βρίσκεται σε απόλυτη συμφωνία με την πολιτισμική παράδοση και την αδιάλειπτη θεραπευτική πρακτική εφαρμογής εναλλακτικών θεραπειών από τους λαούς της Ανατολικής Ασίας, εύλογο είναι ότι αυτή η συσχέτιση δεν μπορεί ακόμη να γίνει ευρέως αντιληπτή και δεκτή στην Ελλάδα.
Επίσης, η εξοικείωση των Ελλήνων με τη Ρεφλεξολογία δεν δύναται να συγκριθεί με αυτήν των κατοίκων των χωρών της Δυτικής Ευρώπης όπου για παράδειγμα, στη Δανία τουλάχιστον το 10% του πληθυσμού δέχεται τακτικά Ρεφλεξολογία από πάνω από 3.000 Ρεφλεξολόγους, ενώ στη Μ.
Βρετανία η Ρεφλεξολογία ασκείται επίσημα σε πολλά νοσοκομειακά ιδρύματα.
Εάν ληφθεί υπ’ όψιν δε, ότι ενώ η εξάπλωση της Ρεφλεξολογίας στη Δ. Ευρώπη έχει ξεκινήσει εδώ και δεκαετίες -στην Ελλάδα μόλις στις αρχές τής δεκαετίας του ’90 άρχισαν να εργάζονται οι πρώτοι Έλληνες Ρεφλεξολόγοι και να δημιουργούνται τα πρώτα ελληνικά προγράμματα σπουδών Ρεφλεξολογίας-γίνεται προφανές ότι δεν μπορεί να ζητηθεί ακόμη και σήμερα από το γενικό πληθυσμό στην Ελλάδα, να κατανοήσει εύκολα και να αποδεχθεί δίχως προβληματισμό τη Ρεφλεξολογία ως θεραπευτική προσέγγιση των προβλημάτων υγείας του.
Στην Ελλάδα έως σήμερα, είναι πραγματικότητα το γεγονός ότι ζητάται από τον κόσμο να εμπιστευτεί τη Ρεφλεξολογία και γενικότερα τις συμπληρωματικές θεραπείες ως ένα τρόπο φροντίδας της υγείας του, είτε αποδεχόμενος τις προφορικές εμπειρικές διαπιστώσεις θεραπευτών και θεραπευομένων, είτε μελετώντας τη μεταφρασμένη ξένη βιβλιογραφία και τα ελάχιστα ελληνικά συγγράμματα.
Επομένως, η διενέργεια ερευνητικών μελετών μέσω των οποίων επιτυχώς να τεκμηριώνεται το υπαρκτό και μετρήσιμο θεραπευτικό αποτέλεσμα της Ρεφλεξολογίας, θα προσφέρει στοιχεία έγκυρης ενημέρωσης του ελληνικού πληθυσμού και κατ’ επέκταση του ιατρικού κόσμου.
Σε ό,τι αφορά τους επαγγελματίες στο χώρο της Υγείας, η διεξαγωγή ερευνών καθώς αρθρώνει έναν επιστημονικό πλέον λόγο για τη Ρεφλεξολογία, θα προσφέρει στα μέλη του ιατρικού κόσμου τη δυνατότητα να γνωρίσουν και να μελετήσουν τη Ρεφλεξολογία μέσω ενός οικείου τρόπου ‘ανάγνωσης’ και ενδεχομένως οδηγήσει να την προσεγγίσουν ως μία καινοτόμο πρόταση αφαρμάκου ενίσχυσης του θεραπευτικού έργου τους.
Η κατά το δυνατόν μεγαλύτερη δημοσιοποίηση των ερευνητικών επιστημονικών αποτελεσμάτων, ενδεχομένως να ενισχύσει το κύρος, την αξιοπιστία και την περεταίρω εξάπλωση της Ρεφλεξολογίας ως συμπληρωματικής θεραπευτικής αγωγής στην Ελλάδα.

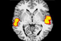
Ενεργοποίηση του εγκεφάλου κατά τη διάρκεια εφαρμογής αγωγής Ρεφλεξολογίας.
Στην παραπάνω απεικόνιση καταγράφεται η νευρωνική δραστηριότητα στον εγκέφαλο, όπως προκύπτει μέσω της σχετικά πρόσφατης μεθόδου νευροαπεικόνισης που ονομάζεται 'Λειτουργική Απεικόνιση Μαγνητικού Συντονισμού' (ΛΑΜΣ, fMRI) [2].
Πηγές:
1. Oleson T., and Flocco W., "Randomized Controlled Study of Premenstrual Symptoms Treated with Foot, Hand, and Ear Reflexology’’. Obstetrics and Gynecology, Vol. 82, #6, pages 906-911, Dec.1993.
2. Nakamaru T, Miura N, Ushima A, Kawashima R., Τμήμα Λειτουργικών Απεικονίσεων του Εγκεφάλου, της Ιατρικής Σχολής του Πανεπιστημίου Tohoku, του Sendai της Ιαπωνίας.
Ειδήσεις υγείας σήμερα
Ι. Βαρδακαστάνης: Το αναπηρικό κίνημα συνεχίζει να αγωνίζεται και να διεκδικεί
Ενδυνάμωση των ασθενών: Καμπάνια ευαισθητοποίησης για την ενίσχυση υιοθέτησης της περιτοναϊκής κάθαρσης στην Ελλάδα
Ποιες τροφές αυξάνουν την καλή χοληστερόλη