Η αρθρίτιδα είναι η πιο συχνά απαντώμενη πάθηση στο γενικό πληθυσμό και προέρχεται από τη σταδιακή εκφύλιση ή τους επανειλημμένους τραυματισμούς του χόνδρου. Όταν δεν δώσει άμεσα συμπτώματα, υποεκτιμάται ή αγνοείται από τους πάσχοντες.
Στο τελικό της στάδιο παρά τις πολυάριθμες μεθόδους που αναφέρονται στη διεθνή βιβλιογραφία οι ασθενείς καταλήγουν να συνεχίζουν να πονούν ή επιλέγουν την ολική αρθροπλαστική. Η τελευταία, ακόμη και με την καλύτερη χειρουργική τεχνική, παραμένει μεγάλη επέμβαση, δεν κρατά ισόβια και εγκυμονεί κινδύνους για τη ζωή των ασθενών.
Η διεθνής ορθοπαιδική κοινότητα δίνει εναλλακτική λύση σήμερα. Σίγουρη και ασφαλή! Τη χρήση ενήλικων βλαστικών κυττάρων.
Από το 2007 και μετά, γνωστοί ορθοπαιδικοί χειρουργοί όπως ο Kuroda και συνεργάτες του στη Μ. Βρετανία, Gianinni και συνεργάτες του στην Ιταλία, Wakitani και οι συνεργάτες του στην Ιαπωνία, Haleem και οι συνεργάτες του στην Αίγυπτο και Centeno και οι συνεργάτες του στο Κολοράντο του Ντένβερ, μόνο ενθαρρυντικά αποτελέσματα έχουν να παρουσιάσουν στη θεραπεία ορθοπαιδικών παθήσεων με βλαστοκύτταρα.
Την τελευταία τριετία τα βλαστικά κύτταρα χρησιμοποιούνται και στην Ελλάδα στην αντιμετώπιση της αρθρίτιδας και τα αποτελέσματα είναι εντυπωσιακά. Τα κύτταρα αυτά, αποτελούν μια ιδιαίτερα ελκυστική ομάδα υλικού για την ‘αναγεννητική’ ιατρική, είναι αυτόλογα καθώς μπορούν εύκολα να προέλθουν από τον ίδιο τον ασθενή, από τον μυελό των οστών του, το λιπώδη ιστό ή συνοβιακές μεμβράνες, με ελάχιστα παρεμβατικό τρόπο, συνήθως με τοπική νάρκωση.
Επειδή είναι ‘ενήλικα’, τα συλλέγουμε από ασθενείς οποιασδήποτε ηλικίας και έχουν εντελώς διαφορετικές ιδιότητες και ρόλους από τα εμβρυικά. Μπορούν εύκολα να διαφοροποιηθούν ειδικά σε χονδροκύτταρα, λόγω της χονδρογεννητικής τους ικανότητας, προσθέτοντας στο εργαστήριο το κατάλληλο υπόστρωμα καλλιέργειας, καθώς είναι αρχέγονα πολυδύναμα κύτταρα του ανθρώπινου οργανισμού και αποτελούν στην πραγματικότητα το ‘τείχος’ θωράκισης απέναντι σε οποιαδήποτε ασθένεια.
Άλλη πολύ σημαντική διαφορά τους με τα εμβρυικά κύτταρα, είναι πως δυνητικά μπορούμε να συλλέξουμε μεγάλο αρχικό αριθμό κυττάρων, αλλά και υπέρμετρα μεγαλύτερο μετά την ενεργοποίηση στο εργαστήριο, με συνέπεια να έχουμε τη δυνατότητα να καλύψουμε μεγαλύτερη επιφάνεια χόνδρινης βλάβης σε σχέση με αντίστοιχες μεθόδους χρήσης χονδροκυττάρων.
Η ηλικία των κυττάρων του δότη δεν παίζει στη θεραπεία αυτή τόσο μεγάλο ρόλο, καθώς μιλάμε για αδιαφοροποίητα κύτταρα του ανθρώπινου οργανισμού, που δεν έχουν υποστεί τη φθορά της καθημερινής καταπόνησης και των διατμητικών δυνάμεων εντός της άρθρωσης.
Η καθυστέρηση στον πολλαπλασιασμό τους στο εργαστήριο, σε μια τέτοια περίπτωση, μπορεί να αντισταθμιστεί από τον μεγάλο πληθυσμό των μεσεγχυματικών κυττάρων που τελικά παρέχονται από το αρχικό δείγμα, ενώ αυτή τους η ιδιότητα τα καθιστά ακίνδυνα όσον αφορά ανεξέλεγκτες μιτώσεις και ογκογένεση.
Η νέα τεχνική χρήσης ενεργοποιημένων στο εργαστήριο μεσεγχυματικών κυττάρων, έχει σκοπό την αναγέννηση του χόνδρου και τον περιορισμό ή και αποφυγή της εκφυλιστικής αρθρίτιδας των μεγάλων αρθρώσεων. Η τεχνική έχει ένδειξη σε όλες τις μεγάλες αρθρώσεις με πρώιμη ή μετρίου βαθμού αρθρίτιδα, είναι ελάχιστα παρεμβατική, μπορεί να συνδυαστεί με αρθροσκοπικές επεμβάσεις ‘καθαρισμού’ της πάσχουσας άρθρωσης και δεν απαιτεί τη χρήση βιολογικών υποστρωμάτων.
Είναι ασφαλής για τον ασθενή, γιατί είναι αναίμακτη, είναι πλήρως αυτόλογη, επομένως δεν εγκυμονεί κινδύνους μετάδοσης νοσημάτων και έχει μηδενικές επιπλοκές, αφού πραγματοποιείται και στα δύο στάδιά της (λήψης και έγχυσης) με τοπική νάρκωση, χωρίς να απαιτείται νοσηλεία του ασθενούς.
Από πολυπληθή ομάδα ασθενών με μετρίας ή βαριάς μορφής αρθρίτιδας μιας μεγάλης άρθρωσης, οι οποίοι ως μοναδική λύση είχαν την ολική αρθροπλαστική και απευθύνθηκαν σε μας, το 71% θεωρήθηκαν τελικά κατάλληλοι υποψήφιοι βιολογικής θεραπείας με βλαστοκύτταρα, μετά από εξειδικευμένες εξετάσεις και ακολουθώντας διεθνές πρωτόκολλο επιλογής ασθενών.
Από το παραπάνω ποσοστό, το 56% εμπιστεύτηκε τη μέθοδο. Πάνω από 80% αυτών των ασθενών εμφάνισαν αισθητή μείωση του πόνου και αύξηση της λειτουργικότητας του πάσχοντος μέλους, σταδιακά από τον 1ο έως και τον 6ο μήνα μετά την εμφύτευση.
Σε συνολικό ποσοστό, το 90% των ασθενών επανήλθαν στις καθημερινές τους δραστηριότητες, χωρίς καμία ενόχληση, περίπου στον ένα χρόνο μετεγχειρητικά. Σε κανέναν από αυτούς τους ασθενείς δεν έχει γίνει δεύτερη έγχυση βλαστοκυττάρων, αν και όλοι έχουν μπει στη διαδικασία κρυοφύλαξης βιολογικού υλικού και όλοι έχουν αποφύγει την ολική αρθροπλαστική.
Η θεραπεία με τα βλαστικά κύτταρα είναι μια θεραπεία που ακολουθεί τις εξελίξεις του 21ου αιώνα και γι' αυτό δεν πρέπει να είμαστε επιφυλακτικοί. Βρισκόμαστε στην αρχή μιας νέας εποχής στις θεραπευτικές μεθόδους της αρθρίτιδας.

Διαδερμική εμφύτευση αυτόλογων καλλιεργημένων μεσεγχυματικών κυττάρων, με έγχυση με τοπική αναισθησία.

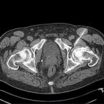
Διαδερμική εμφύτευση βλαστικών κυττάρων, με βελόνη καθοδηγούμενη από αξονικό τομογράφο.

Μαγνητική τομογραφία ασθενούς πριν & 6 μήνες μετά από εμφύτευση αυτόλογων καλλιεργημένων μεσεγχυματικών κυττάρων στην άρθρωση του ισχίου για θεραπεία εκσεσημασμένης οστεοαρθρίτιδας. Με το διακεκομένο κύκλο φαίνεται η μείωση της υμενίτιδας και του οστικού οιδήματος του υποχόνδριου οστού της κεφαλής του μηριαίου, ενώ με τα βέλη φαίνεται η αύξηση του όγκου του χόνδρου στη φορτίζουσα επιφάνεια αυτής.
Ειδήσεις υγείας σήμερα
Η καινοτομία μετασχηματίζει τη φροντίδα υγείας: Οφέλη για τους ασθενείς, το σύστημα υγείας και την οικονομία
Πιθανοί κίνδυνοι του κολλαγόνου
“Reflections”: Το Keele University ανοίγει έναν νέο κύκλο διαλόγου για την επιστήμη και την κοινωνία