Τα αδενώματα της υπόφυσης είναι καλοήθεις όγκοι του αδένα της υπόφυσης, ο οποίος βρίσκεται στη βάση του κρανίου και εκκρίνει ορμόνες. Τα αδενώματα της υπόφυσης προκαλούν πονοκέφαλο, οπτικές και ορμονικές διαταραχές. Γι’ αυτό οι περισσότεροι ασθενείς προσέρχονται στο γιατρό αιτιόμενοι διαταραχή οράσεως, η οποία επιβεβαιώνεται με την εξέταση των οπτικών πεδίων από οφθαλμίατρο.
Ενδεχομένως ο ασθενής να παρουσιάζει άλλη συμπτωματολογία η οποία οφείλεται σε ορμονολογικές διαταραχές και που επιβεβαιώνεται με ορμονολογικές εξετάσεις. Η διάγνωση του αδενώματος γίνεται με μαγνητική τομογραφία εγκεφάλου-υποφύσεως.
Η φαρμακευτική θεραπεία ενδείκνυται μόνο για ορισμένους τύπους αδενωμάτων και συνήθως σκοπεύει στην προετοιμασία του ασθενή για την χειρουργική επέμβαση, η οποία αποτελεί συνήθως την μόνη θεραπεία της πλειονότητας των αδενωμάτων της υπόφυσης.
Η μικροχειρουργική διασφηνοειδής προσπέλαση, θεωρείται η πρωταρχική χειρουργική θεραπευτική αντιμετώπιση, σε ασθενείς με αδενώματα υπόφυσης.
Η ενδοσκοπική ενδορρινική διασφηνοειδική χειρουργική, έχει πρόσφατα προταθεί, σαν η ελάχιστα τραυματική προσπέλαση. Η προσπέλαση γίνεται δια μέσου μιας ή δυο ρινικών χοανών, χωρίς τη χρήση ρινικού κατόπτρου, αλλά μόνο με τη χρήση του ενδοσκοπίου, το οποίο αποτελεί το μόνο εργαλείο για την όραση του χειρουργικού πεδίου.
Η ενδορινική διασφηνοειδική προσπέλαση ενδείκνυται για ασθενείς με:
- Μακροαδενώματα υπόφυσης.
- Μεταστάσεις στην περιοχή της υπόφυσης.
- Φλεγμονώδεις παθήσεις της περιοχής της υπόφυσης (απόστημα, κοκκιωματώδη νοσήματα).
- Καταστάσεις κενού τουρκικού εφιππίου.
- Κρανιοφαρυγγιώματα.
- Μηνιγγιώματα.
- Χιασματικά και υποθαλαμικά γλοιώματα.
- Αραχνοειδείς κύστεις.
- Γερμινώματα.
- Μικροαδενώματα υπόφυσης.
- Νευρινώματα τριδύμου.
Η συγκεκριμένη μέθοδος προσφέρει στον χειρουργό ευρύτερη όραση του χειρουργικού πεδίου, με λεπτομερή απεικόνιση της ανατομίας της περιοχής και διαμέσου αυτής και περιορισμένη τραυματική προσπέλαση. Τα πλεονεκτήματα για τον ασθενή είναι ιδιαίτερα σημαντικά συγκριτικά με την κλασσική μικροχειρουργική μέθοδο, καθώς περιορίζεται σε μεγάλο βαθμό το ποσοστό των επιπλοκών και ο χρόνος νοσηλείας.
Συγκριτικά με την μικροσκοπική κλασσική μικροχειρουργική, που τα μειονεκτήματα της για τον ασθενή είναι ο αυξημένος κίνδυνος εμβολισμού, ο διεγχειρητικός και μετεγχειρητικός πόνος, η τομή του ρινικού διαφράγματος και το ταμπονάρισμα της ρινός, τα μειονεκτήματα της ενδορινικής διασφηνοειδής προσπέλασης περιορίζονται στην απώλεια της τρισδιάστατης όρασης του πεδίου από τον χειρουργό, στην ανάγκη χρήσης εξειδικευμένων εργαλείων και στον έλεγχο της αιμορραγίας.
Η συχνότητα εμφάνισης επιπλοκών είναι σχεδόν αμελητέα, με συχνότερες την σφηνοειδίτιδα και τη διαφυγή εγκεφαλονωτιαίου υγρού (ΕΝΥ), οι οποίες όμως είναι αντιμετωπίσιμες και δεν ξεπερνούν το 2,1%.
Οι ασθενείς που χειρουργούνται με τη συγκεκριμένη μέθοδο, παρακολουθούνται για τους επόμενους 6 μήνες, στις εξετάσεις των οποίων περιλαμβάνονται ο ενδοκρινολογικός έλεγχος, ο απεικονιστικός έλεγχος με μαγνητική τομογραφία και ο έλεγχος των οπτικών πεδίων.
Τα μετεγχειρητικά αποτελέσματα είναι στη συντριπτική πλειοψηφία τους άριστα και το ποσοστό των ασθενών που χρήζουν συμπληρωματικής ακτινοθεραπείας είναι μικρός. Οι ασθενείς με επηρεασμένα οπτικά πεδία προεγχειρητικά παρουσιάζουν βελτίωση, η έκκριση των ορμονών μειώνεται, τα μικροαδενώματα εξαφανίζονται, ενώ στα μακροαδενώματα παρατηρείται ελάττωση έως πλήρη εξαφάνισή τους.
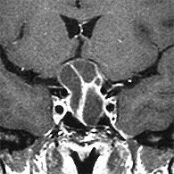
Μαγνητική τομογραφία πριν το χειρουργείο

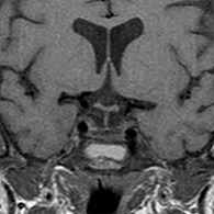
Μαγνητική τομογραφία μετά το χειρουργείο

Ειδήσεις υγείας σήμερα
Η καθημερινότητα των χρονίως πασχόντων στην περίοδο των γιορτών: Προκλήσεις και προοπτικές
Κυστική ίνωση: Το ταξίδι από τη διάγνωση στην απεριόριστη ανάσα
Δωρεά ασθενοφόρου στο ΓΝΘ "Γ. Παπανικολάου" στη μνήμη της Ελίζας Σαμαρά