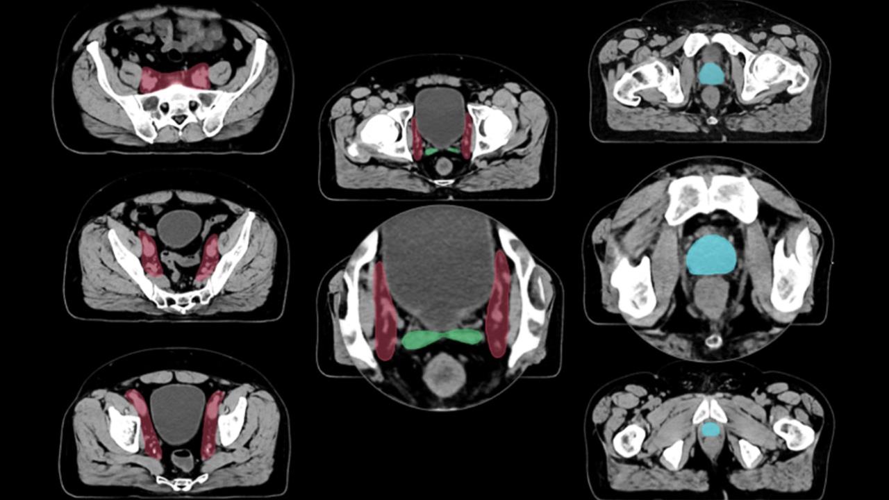
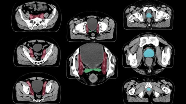
Το Ακτινοθεραπευτικό Ογκολογικό τμήμα του Α.Ν.Θ "Θεαγενείου", πάντα πρωτοπόρο στη χρήση τεχνολογίας αιχμής και εφαρμογής τεχνικών υψηλής τεχνολογίας, μετά από ένα εξάμηνο έρευνας και δοκιμαστικής χρήσης διαφόρων παρόμοιων εφαρμογών εγκατέστησε - μέσω διαγωνισμού το λογισμικό Limbus AI, πρώτο από όλα τα ακτινοθεραπευτικά κέντρα της Β. Ελλάδος - λογισμικό τεχνητής νοημοσύνης που βελτιώνει το work flow της ακτινοθεραπείας με αποτέλεσμα τη βελτίωση της ποιότητας της ασφάλειας και της έγκαιρης παροχής ακτινοθεραπείας στους ασθενείς. 
Η ακρίβεια και η ποιότητα του λογισμικού της τεχνητής νοημοσύνης έχει αποδειχθεί σε πολυάριθμες κλινικές μελέτες και έχει εγκριθεί από διεθνείς επιστημονικές εταιρείες της ακτινοθεραπείας (Astro - Estro). Η Estro έχει σχεδιάσει δομές στο μαστό, στην πύελο και στο head and neck και όλα τα επίπεδα των λεμφαδενικών περιοχών αυτών των δομών τα οποία εμπεριέχονται στο "Limbus AI".
Το συγκεκριμένο εργαλείο τεχνητής νοημοσύνης που έχει πλέον εδραιωθεί σε μεγάλα κέντρα ακτινοθεραπείας παγκοσμίως, προσφέρει ταχύτερους χρόνους ακτινοθεραπείας, κάνει πιο εφικτή την τεχνική της adaptive ακτινοθεραπείας και του replanning (επανασχεδιασμού).

Ειδήσεις υγείας σήμερα
Ι. Βαρδακαστάνης: Το αναπηρικό κίνημα συνεχίζει να αγωνίζεται και να διεκδικεί
Ενδυνάμωση των ασθενών: Καμπάνια ευαισθητοποίησης για την ενίσχυση υιοθέτησης της περιτοναϊκής κάθαρσης στην Ελλάδα
Πνευμονία: Βακτηριακό ένζυμο είναι πιθανό να προκαλεί μοιραίες καρδιακές επιπλοκές [μελέτη]