Είστε στο ταξίδι προς την επιθυμητή κύηση και αναζητάτε έναν καινοτόμο και αποτελεσματικό τρόπο για να αυξήσετε τις πιθανότητές σας για σύλληψη; Παρουσιάζουμε την πρωτοποριακή προσέγγισή μας – Συγχρονισμένη επαφή καθοδηγούμενη με εκτεταμένη παρακολούθηση ωοθυλακίων.
Βασικά χαρακτηριστικά της υπηρεσίας:
Εξατομικευμένη καθοδήγηση: Η νέα μας προσέγγιση περιλαμβάνει στενή παρακολούθηση του αναπαραγωγικού σας κύκλου μέσω προηγμένης παρακολούθησης ωοθυλακίων. Κάθε βήμα είναι εξατομικευμένο στον μοναδικό βιολογικό σας ρυθμό, εξασφαλίζοντας ακρίβεια στον εντοπισμό του βέλτιστου χρόνου για σύλληψη. Γίνονται πολλαπλές εξετάσεις ενδοκολπικά ανώδυνα και υπολογίζεται το μέγεθος του κυρίαρχου ωοθυλάκιου αλλά και διαβεβαιώνεται πότε γίνεται η ωορρηξία. Το ζευγάρι προσαρμόζει τη συχνότητα επαφής με βέλτιστο τρόπο.

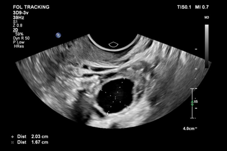
Η εικόνα παρουσιάζει μέτρηση ώριμου ωοθυλακίου με μέσο διάμετρο 18.5 mm της αριστερής ωοθήκης
Επιστημονικά εδραιωμένη: Με την υποστήριξη της επιστημονικής έρευνας, η παρακολούθηση των ωοθυλακίων έχει αποδειχθεί ότι αυξάνει σημαντικά τις πιθανότητες σύλληψης. Παρατηρώντας στενά την ανάπτυξη του κυρίαρχου ωοθυλακίου, σας δίνουμε τη δυνατότητα να μεγιστοποιήσετε τις δυνατότητες γονιμότητάς σας.
Τεχνολογία υπερήχων αιχμής: Αγκαλιάστε την άνεση της τεχνολογίας με την φιλική προς το χρήστη εφαρμογή μας. Λάβετε ενημερώσεις σε πραγματικό χρόνο για το παράθυρο γονιμότητάς σας, επιτρέποντάς σας να σχεδιάζετε τις προσωπικές σας στιγμές με σιγουριά. Το κέντρο διαθέτει υπερσύγχρονη υπερηχογραφική μηχανή επιτρέποντας τη διεξαγωγή του ανώτατου επιπέδου 3 γυναικολογικής υπερηχογραφικής εξέτασης
Καθοδήγηση εμπειρογνωμόνων: Η τεχνογνωσία του ειδικού ιατρού και η διαθεσιμότητά του σας υποστηρίζουν σε κάθε σας βήμα. Επωφεληθείτε από ειδικές γνώσεις, καθοδήγηση και εξατομικευμένες συμβουλές προσαρμοσμένες στις συγκεκριμένες ανάγκες σας.
Ενδυνάμωση μέσω της γνώσης: Κατανοήστε το σώμα σας όπως ποτέ πριν. Μάθετε για τις περιπλοκές του εμμηνορροϊκού σας κύκλου, της ωορρηξίας και των προτύπων γονιμότητας. Ενδυναμώστε τον εαυτό σας με γνώση που σας δίνει τον έλεγχο του ταξιδιού σας στη γονιμότητα. Με πλήρης κατανόηση για το πόσο σημαντική είναι η πληροφορία που αποκτάται από τη γυναικολογική υπερηχογραφική απεικόνιση και τη μελέτη των ωοθυλακίων
Γιατί να επιλέξετε χρονομετρημένη επαφή καθοδηγούμενη με ωοθυλακική παρακολούθηση;
Χωρίς ορμονικές παρεμβάσεις: Αυτή η προσέγγιση είναι φυσική και χωρίς ορμόνες, καθιστώντας την ιδανική επιλογή για ζευγάρια που αναζητούν μια ολιστική και μη επεμβατική λύση γονιμότητας.
Βέλτιστος συγχρονισμός: Μεγιστοποιήστε τις πιθανότητές σας για σύλληψη ρυθμίζοντας με ακρίβεια τη σεξουαλική επαφή κατά τις πιο γόνιμες ημέρες σας. Η προσέγγισή μας αφαιρεί την εικασία από την εξίσωση.
Προσαρμοσμένο για εσάς: Είτε μόλις ξεκινάτε το ταξίδι γονιμότητας είτε προσπαθείτε για κάποιο χρονικό διάστημα, η προσέγγισή μας προσαρμόζεται στις μοναδικές σας ανάγκες. Η προσαρμοσμένη καθοδήγηση εξασφαλίζει μια εξατομικευμένη και αποτελεσματική εμπειρία.
Αποδεδειγμένα αποτελέσματα: Πολυάριθμες ιστορίες επιτυχίας αναδεικνύουν την αποτελεσματικότητα της χρονομετρημένης επαφής καθοδηγούμενης με παρακολούθηση ωοθυλακίων. Γίνετε μέλος της αυξανόμενης κοινότητας των ζευγαριών που έχουν πραγματοποιήσει το όνειρό τους για εγκυμοσύνη μέσω αυτής της καινοτόμου μεθόδου. Μπορείτε να κοινοποιήστε αυτήν την ανάρτηση στους φίλους και συγγενείς σας, ώστε να τους γλιτώσετε από περιττές και δαπανηρές θεραπείες γονιμότητας.
Ξεκινήστε το ταξίδι σας σήμερα:
Ξεκινήστε αυτό το ενδυναμωτικό ταξίδι προς τη γονιμότητά. Ζήστε την εμπιστοσύνη που συνοδεύει τη γνώση και την υποστήριξη τεχνολογίας αιχμής. Η χρονομετρημένη σεξουαλική προσέγγιση καθοδηγούμενη με παρακολούθηση ωοθυλακίων έχει σχεδιαστεί για να σας φέρει πιο κοντά στη χαρά της φυσικής κύησης.
Ξεκλειδώστε τις δυνατότητες γονιμότητας σας.
Ειδήσεις υγείας σήμερα
Ι. Βαρδακαστάνης: Το αναπηρικό κίνημα συνεχίζει να αγωνίζεται και να διεκδικεί
Ενδυνάμωση των ασθενών: Καμπάνια ευαισθητοποίησης για την ενίσχυση υιοθέτησης της περιτοναϊκής κάθαρσης στην Ελλάδα
Πνευμονία: Βακτηριακό ένζυμο είναι πιθανό να προκαλεί μοιραίες καρδιακές επιπλοκές [μελέτη]