Ένα σπάνιο περιστατικό όγκου στον σπλήνα 56χρονης γυναίκας, κλήθηκαν να αντιμετωπίσουν γιατροί του νοσοκομείου της Νέας Ιωνίας. Πρόκειται για φλεγμονώδη μυοϊνοβλαστικό όγκο, ο οποίος διαγνώστηκε μετά την αφαίρεση του οργάνου.
Τα παραπάνω επισημαίνονται σε άρθρο που δημοσιεύτηκε πρόσφατα στο επιστημονικό περιοδικό Cancer Diagnosis and Prognonis. Το άρθρο υπογράφουν οι Δ. Φαγκρέζος, Μ. Κακαβέλου, Ευγ. Χαριτάκη, Σ. Δελλής, Κ. Παπαπαρασκευά, Χ. Τριαντοπούλου, Π. Μανιάτης, Δ. Χρυσικός και Θ. Τρουπής.
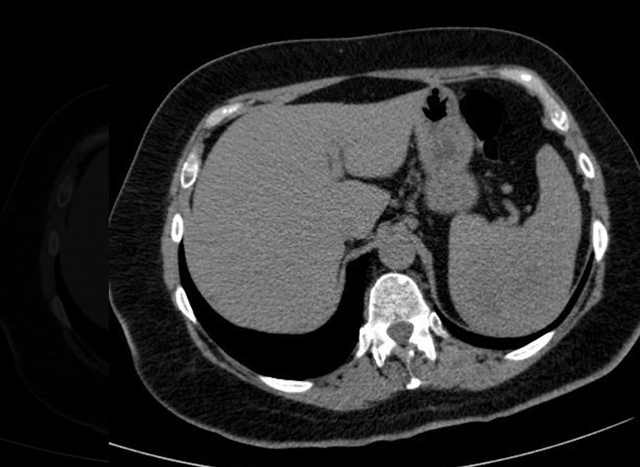
Όπως αναφέρει η συντακτική ομάδα, το περιστατικό αφορούσε μία 56χρονη γυναίκα, η οποία διακομίστηκε στο "Κωνσταντοπούλειο" νοσοκομείο Νέας Ιωνίας με πόνο στην κοιλιά και ενόχληση.
Η ασθενής δεν είχε σημαντικό ιατρικό ιστορικό και οι εργαστηριακές εξετάσεις της ήταν κανονικές. Η αξονική τομογραφία κοιλίας αποκάλυψε, ωστόσο, μία μεγάλη μάζα στον σπλήνα. Πραγματοποιήθηκε σπληνεκτομή και η ιστοπαθολογική ανάλυση αποκάλυψε φλεγμονώδη μυοϊνοβλαστικό όγκο.
Το όργανο είχε υποστεί μία ελαφρά μεγέθυνση. Οι τομές που έγιναν αποκάλυψαν νεκρωτικές περιοχές, ενώ δεν παρατηρήθηκαν μακροσκοπικές ανωμαλίες στο υπόλοιπο σπληνικό παρέγχυμα.
Οι φλεγμονώδεις μυοϊνοβλαστικοί όγκοι (IMTs) είναι σπάνιες, συμπαγείς, δυνητικά κακοήθεις βλάβες αβέβαιης αιτιολογίας. Ιστολογικά, εμφανίζουν συνδυασμό λεμφοκυττάρων και φλεγμονωδών κυττάρων μέσα σε ένα ινοβλαστικό μυξοειδές στρώμα.
Η διάγνωσή τους αποτελεί πρόκληση για διάφορες ιατρικές ειδικότητες, συμπεριλαμβανομένων των χειρουργών, των παθολογοανατόμων και των ογκολόγων, λόγω της μη ειδικής κλινικής τους εικόνας.
Επιπλέον, οι ακτινολόγοι αντιμετωπίζουν δυσκολίες στην ερμηνεία των αποτελεσμάτων της αξονικής τομογραφίας ή της μαγνητικής τομογραφίας, οι οποίες συχνά δίνουν πολυμορφικά και ασαφή ευρήματα.
Τελικά, οι ιστοπαθολόγοι παίζουν καθοριστικό ρόλο στην επίτευξη οριστικής διάγνωσης, με βάση τα ιστολογικά χαρακτηριστικά του όγκου. Ανιχνεύονται σε κάθε σύστημα του ανθρώπινου σώματος, πιο συχνά στους πνεύμονες.

Τι είναι
Σύμφωνα με τους επιστήμονες οι φλεγμονώδεις μυοϊνοβλαστικοί όγκοι στον σπλήνα είναι σπάνιοι καλοήθεις όγκοι, με μέτρια κακοήθη πιθανότητα. Δεν έχουν διακριτή κλινική εικόνα και τυπικά εντοπίζονται είτε τυχαία είτε κατά την εξέταση του κοιλιακού πόνου.
Περιγράφηκαν για πρώτη φορά στους πνεύμονες από τον Brunn, ο οποίος αρχικά το ονόμασε φλεγμονώδη ψευδο-όγκο. Άλλες ονομασίες που χρησιμοποιούνται για την περιγραφή τους είναι κοκκίωμα πλασματοκυτταρικού, ξανθωματώδης ψευδο-όγκος, μεταφλεγμονώδης όγκος, φλεγμονώδης μυοϊνοβλαστικός πολλαπλασιασμός, μυοϊνοβλάστωμα και ψευδοσαρκωματώδης μυοϊνοβλαστικός πολλαπλασιασμός.
Ωστόσο, ο όρος "φλεγμονώδης μυοϊνοβλαστικός όγκος" είναι ο επίσημος όρος για την περιγραφή του.
Παρατηρείται συχνά σε παιδιατρικούς και εφηβικούς πληθυσμούς. Εμφανίζεται κυρίως στους πνεύμονες, αλλά και σε εξωπνευμονικές θέσεις σε όλο το σώμα, με πιο συνηθισμένο το ήπαρ, την καρδιά, το κεντρικό νευρικό σύστημα και το οπισθοπεριτόναιο.
Ο υποκείμενος παθοφυσιολογικός μηχανισμός παραμένει άγνωστος. Πιθανοί παθογόνοι μηχανισμοί περιλαμβάνουν λοιμώξεις, τραύματα, προηγούμενες χειρουργικές επεμβάσεις και χρωμοσωμικές ανωμαλίες.
Τα τυπικά συμπτώματα που αντιμετωπίζουν οι ασθενείς είναι πόνος, αναιμία, κόπωση και απώλεια βάρους.
Ειδήσεις υγείας σήμερα
Η ουλίτιδα μπορεί να συνδέεται με αυξημένο κίνδυνο σοβαρών καρδιαγγειακών επεισοδίων
Ποια δραστηριότητα μειώνει τον κίνδυνο για πόνο στο γόνατο στους ηλικιωμένους
Τρυφερότητα, ωκυτοκίνη και ταχύτερη επούλωση πληγών