Στο Aιμοδυναμικό εργαστήριο της Β' Πανεπιστημιακής Καρδιολογικής Κλινικής στο Ιπποκράτειο Νοσοκομείο Θεσσαλονίκης πραγματοποιήθηκε για πρώτη φορά και με απόλυτη επιτυχία επέμβαση συνδυασμένης κατάλυσης κολπικής μαρμαρυγής με την μέθοδο Pulsed Field Ablation (PFA) και σύγκλεισης του ωτίου του αριστερού κόλπου στον ίδιο χρόνο.
Το PFA είναι μια καινούργια και ιδιαίτερα υποσχόμενη μέθοδος μη θερμικής κατάλυσης.
Η επέμβαση έγινε σε γυναίκα 52 ετών, με ιστορικό πρόσφατης αγγειοπλαστικής για οξύ στεφανιαίο σύνδρομο, υποτροπιάζουσα κολπική μαρμαρυγή παρά την προ έτους υποβολή της (σε άλλο κέντρο) σε επέμβαση κατάλυσης της κολπικής μαρμαρυγής με εφαρμογή υψίσυχνου εναλλασσόμενου ρεύματος (RF ablation) και παράλληλα αδυναμία λήψης αντιπηκτικής αγωγής λόγω επανειλημμένων αθρόων μητρορραγιών.
Πραγματοποιήθηκε υπό γενική αναισθησία σε χρονική διάρκεια 2 ωρών με τρόπο που έδειξε πως είναι εφικτός ο συνδυασμός των δύο αυτών παρεμβάσεων σε ένα χρόνο σε ασθενείς που έχουν την σχετική ένδειξη.

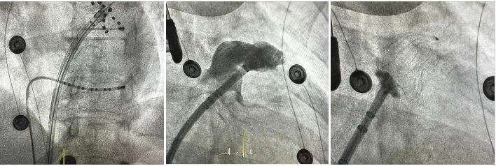
- Ακτινοσκοπική λήψη από την τοποθέτηση του καθετήρα κατάλυσης (FARAPULSE™ Pulsed Field Ablation System) στο στόμιο της αριστερής άνω πνευμονικής φλέβας.
- Σκιαγράφηση του ωτίου του αριστερού κόλπου.
- Επιτυχής τοποθέτηση της συσκευής σύγκλεισης στο ωτίο του αριστερού κόλπου.
Στην κεντρική φωτογραφία, η ομάδα του Αιμοδυναμικού της Β' Πανεπιστημιακής Καρδιολογικής Κλινικής που συμμετείχε στην επέμβαση.
Πέραν του διευθυντή της Κλινικής καθηγητή Νικολάου Φραγκάκη, διακρίνονται o επιστημονικός συνεργάτης της Κλινικής και με εκτεταμένη εμπειρία στην σύγκλειση του ωτίου του αριστερού κόλπου Απόστολος Τζίκας, ο επιμελητής Α’ ηλεκτροφυσιολόγος Γ. Σταυρόπουλος, Ο επίκουρος καθηγητής επεμβατικός καρδιολόγος Γ. Κασίμης, Ο διευθυντής ΕΣΥ Δ. Εκκλησίαρχος, ο αναισθησιολόγος Γ. Πιτσιώλας, οι ειδικευόμενοι της κλινικής κ Γ. Ζορμπάς και Α. Σαμαράς και η νοσηλεύτρια του αιμοδυναμικού εργαστηρίου κ Σ. Αβραμίδου.
Ειδήσεις υγείας σήμερα
Κουραμπιέδες, μελομακάρονα και μια αίσθηση ανεκπλήρωτου
Το πρώτο και μοναδικό βιο - ομοειδές φάρμακο για την πολλαπλή σκλήρυνση μπαίνει στις ΗΠΑ
Ι. Βαρδακαστάνης: Το αναπηρικό κίνημα συνεχίζει να αγωνίζεται και να διεκδικεί