Η εταιρεία Gilead Kite εξασφάλισε ταχεία έγκριση από την Υπηρεσία Τροφίμων και Φαρμάκων των ΗΠΑ (FDA) για το brexucabtagene autoleucel για τη θεραπεία ενηλίκων ασθενών με υποτροπιάζον ή ανθεκτικό λέμφωμα κυττάρων  (MCL).  

Το φάρμακο, παλαιότερα γνωστό ως KTE-X19, είναι η πρώτη και μόνη εγκεκριμένη θεραπεία κυττάρων Τ χιμαιρικού αντιγόνου (CAR) για τη θεραπεία υποτροπιάζουσας ή ανθεκτικής MCL.

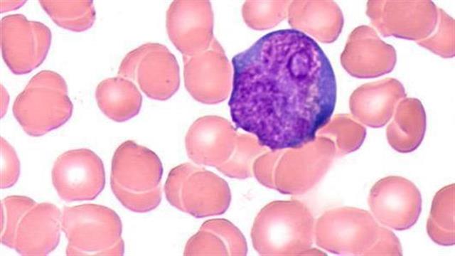
Το MCL είναι μια σπάνια μορφή λεμφώματος μη-Hodgkin (NHL), που προκύπτει από κύτταρα που προέρχονται από τη ζώνη μανδύα του λεμφαδένα και επηρεάζει κυρίως τους άνδρες από την ηλικία των 60 ετών και άνω. 
Η έγκριση, βασίζεται σε δεδομένα από τη μελέτη ZUMA-2. Η δοκιμή ZUMA-2 στρατολόγησε 74 ενήλικες ασθενείς με υποτροπιάζουσα ή ανθεκτική MCL που είχαν προηγουμένως λάβει χημειοθεραπεία που περιέχει ανθρακυκλίνη ή βενδαμουστίνη, θεραπεία με αντισώματα αντι-CD20 και αναστολέα κινάσης τυροσίνης Bruton (ibrutinib ή acalabrutinib).

Προς το παρόν, το KTE-X19 είναι υπό αξιολόγηση στην Ευρωπαϊκή Ένωση και έχει εξασφαλίσει τον χαρακτηρισμό φαρμάκων προτεραιότητας (PRIME) από τον Ευρωπαϊκό Οργανισμό Φαρμάκων για υποτροπιάζον ή ανθεκτικό MCL. Επιπλέον, το φάρμακο αξιολογείται σε δοκιμές φάσης 1/2 σε οξεία λεμφοβλαστική λευχαιμία (ΟΛΛ) και χρόνια λεμφοκυτταρική λευχαιμία (CLL).
Η Kite θα παρασκευάσει το σκεύασμα στην μονάδα της, στη Καλιφόρνια.

Σημειώνεται ότι πρόσφατα, η Gilead Sciences συμφώνησε να επενδύσει έως και 300 εκατομμύρια δολάρια για την απόκτηση μετοχικού κεφαλαίου ύψους 49,9% στην εταιρεία ανοσοθεραπείας Tizona Therapeutics.

Πηγές:
pharmaceutical business review.

Ειδήσεις υγείας σήμερα
Κουραμπιέδες, μελομακάρονα και μια αίσθηση ανεκπλήρωτου
Το πρώτο και μοναδικό βιο - ομοειδές φάρμακο για την πολλαπλή σκλήρυνση μπαίνει στις ΗΠΑ
Ι. Βαρδακαστάνης: Το αναπηρικό κίνημα συνεχίζει να αγωνίζεται και να διεκδικεί