Η ουροδόχος κύστη είναι ένα κοίλο όργανο στο κάτω μέρος της κοιλιάς όπου αποθηκεύονται τα ούρα.
Ο καρκίνος της ουροδόχου κύστης είναι ο δεύτερος σε συχνότητα στο ουροποιογεννητικό σύστημα και εμφανίζεται συνήθως στην 6η-7η δεκαετία της ζωής. Είναι ο 4ος σε συχνότητα εμφάνισης στον άντρα και 10ος στις γυναίκες. Συγκεκριμένα, οι πιθανότητες ανάπτυξης είναι 1 στους 20 άντρες και 1 στις 80 γυναίκες. Ο καρκίνος της κύστης αυξήθηκε περίπου 30% την τελευταία 10ετία αλλά μειώθηκε η θνησιμότητα κατά 10%.
Ποιες είναι όμως οι αιτίες για να αναπτύξει κάποιος καρκίνο ουροδόχου κύστης; Όπως έχει αποδειχτεί στις περισσότερες νεοπλασίες, το κάπνισμα έχει συνδεθεί σε μεγάλο βαθμό, περίπου 30-50%. Δηλαδή το ποσοστό τριπλασιάζεται σε καπνίζοντες και παραμένει διπλάσιο σε πρώην καπνιστές.
Η δεύτερη πιο συχνή αιτία είναι η συχνή επαγγελματική έκθεση σε καρκινογόνα όπως χημικά, χρωστικές, ελαστικά, πετρελοειδή, και σε αρωματικές αμίνες.
Έχει αποδειχτεί ότι και οι χρόνιες φλεγμονές και οι λοιμογόνοι παράγοντες (σχιστοσωμίαση) μπορούν να προκαλέσουν καρκίνο ουροδόχου κύστης.
Το μεγαλύτερο και πιο σημαντικό σύμπτωμα είναι η ανώδυνη μακροσκοπική αιματουρία (κόκκινα ούρα) στο 90% των περιπτώσεων. Κάθε ασθενής άνω των 45 και καπνιστής με αιματουρία, θεωρείται εξ αρχής ύποπτος για καρκίνο ουροδόχου κύστης. Τα συμπτώματα του καρκίνου της ουροδόχου κύστεως μπορούν επίσης να εμφανιστούν με κυστικά ενοχλήματα όπως πόνο στην ούρηση, συχνουρία, και έπειξη προς ουρηση. Σε προχωρημένο στάδιο, μπορεί να εμφανιστεί με οστικά άλγοι, η οσφυϊκό άλγος, και απώλεια βάρους. Πρέπει να σημειωθεί ότι και η μικροσκοπική αιματουρία, χρήζει διερεύνηση και δεν πρέπει να αμελείται.
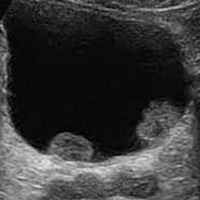
Το πρώτο διαγνωστικό εργαλείο είναι το υπερηχογράφημα νεφρών κύστεως (και προστάτη για τους άνδρες), όπου συνήθως εμφανίζονται ένα η περισσότερα θηλώματα.

Το “Gold Standard” όμως είναι η ουρηθροκυστεοσκόπηση, όπου έχει τη δυνατότητα ο ουρολόγος να μπει στην κύστη με μια ειδική κάμερα. Στη συνέχεια, μπορεί να χρειαστούν περαιτέρω εξετάσεις όπως μια αξονική τομογραφία ή αξονική πυελογραφία.

Εφόσον γίνει η διάγνωση, η θεραπεία εκλογής είναι η διουρηθρική αφαίρεση του όγκου (TURB). Το υλικό που θα ληφθεί με αυτή τη διαδικασία αποστέλλεται για να γίνει ιστολογική εξέταση και να γίνει η σταδιοποιήση της νόσου. Η θεραπεία και η παρακολούθηση εξαρτάται από τη σταδιοποιήση του όγκου, και πρέπει να γίνει κατανοητό ότι δεν πρέπει να παραλειφθούν οι οδηγίες του θεράποντος ουρολόγου, καθώς οι πιθανότητες για υποτροπή μπορούν να είναι αρκετά μεγάλες.
Μεγάλη μερίδα των ασθενών ρωτά, αν παίζει ρόλο στη θεραπεία η διακοπή του καπνίσματος. Η απάντηση χωρίς αμφισβήτηση είναι πως ΝΑΙ. Θα πρέπει να γίνει άμεση διακοπή του καπνίσματος.
Ειδήσεις υγείας σήμερα
Λάρισα: Ανοικτή συζήτηση κατά της διάλυσης της Παιδιατρικής Κλινικής του Γενικού Νοσοκομείου
Προχωρημένες επαφές για πώληση της Innovis Pharma
Πρώτη προκήρυξη για 53 μόνιμους ψυχιάτρους του Εθνικού Δικτύου Υπηρεσιών Ψυχικής Υγείας (ΕΔΥΨΥ)