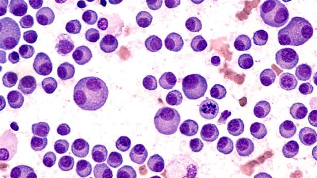
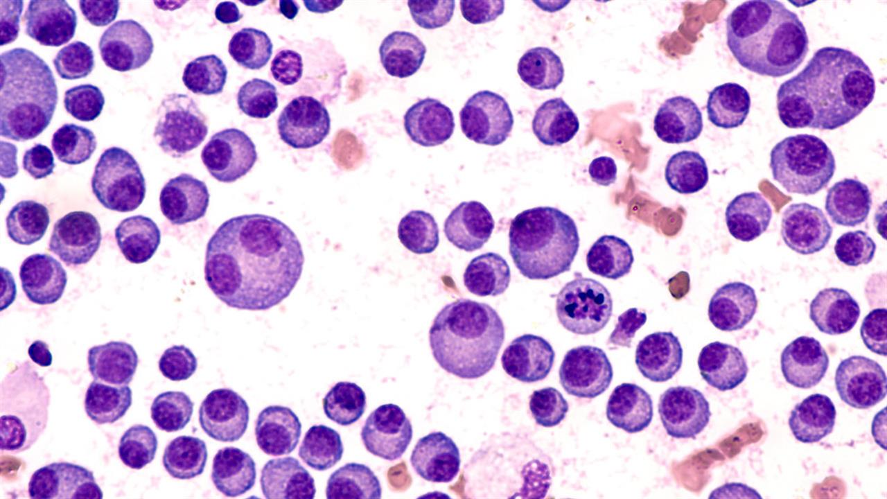
H δεύτερη ένδειξη του isatuximab για τη θεραπεία ενηλίκων ασθενών με υποτροπιάζον πολλαπλούν μυέλωμα, εγκρίθηκε από την Ευρωπαϊκή Επιτροπή. Αυτή η δεύτερη έγκριση του σκευάσματος είναι σε συνδυασμό με την καρφιλζομίμπη και τη δεξαμεθαζόνη για ενήλικες ασθενείς που έχουν λάβει τουλάχιστον μία προηγούμενη θεραπεία, μαζί με ένα πρότυπο θεραπευτικής αγωγής σε λιγότερο από 12 μήνες.

O Philippe Moreau από το Πανεπιστημιακό Νοσοκομείο της Νάντης, στο Τμήμα Αιματολογίας είπε: ‘’Καθώς δεν υπάρχει θεραπεία για πολλαπλούν μυέλωμα και οι ασθενείς συχνά αντιμετωπίζουν υποτροπή νόσου, πρέπει να επιμείνουμε στην επιδίωξή μας για πρόσθετες θεραπευτικές επιλογές. Σχεδόν το 30% των ασθενών που έλαβαν θεραπεία με isatuximab ανταποκρίθηκαν."

Αυτή η τελευταία έγκριση ακολουθεί την αμερικανική Υπηρεσία Τροφίμων και Φαρμάκων (FDA) που ενέκρινε το σκεύασμα για παρόμοια ένδειξη τον Μάρτιο του 2021.

Ο επικεφαλής της Sanofi Oncology and Pediatric Innovation Global Development, Peter C Adamson, δήλωσε: «Η έγκριση του isatuximab από την Ευρωπαϊκή Επιροπή, σε συνδυασμό με carfilzomib και δεξαμεθαζόνη σημαίνει ότι οι ασθενείς που ζουν με πολλαπλούν μυέλωμα στην Ευρώπη μπορούν πλέον να λαμβάνουν  isatuximab σε συνδυασμό με δύο πρότυπα θεραπευτικών θεραπειών. Ο συνδυασμός carfilzomib και δεξαμεθαζόνης αντιπροσωπεύει ένα σημαντικό επίπεδο φροντίδας στην Ευρώπη. Η διαπίστωση της δοκιμής Φάσης 3 IKEMA ότι η προσθήκη του isatuximab σε αυτό το σχήμα μείωσε τον κίνδυνο εξέλιξης ή θανάτου σχεδόν κατά το ήμισυ αποτέλεσε τη βάση για αυτήν τη σημαντική έγκριση της Ευρωπαϊκής Επιτροπής."

Πηγές:
pharmaceutical-business-review.

Ειδήσεις υγείας σήμερα
Αυξημένος κίνδυνος κατάποσης ξένων σωμάτων από παιδιά την περίοδο των Χριστουγέννων
GLP-1 αγωνιστές: Πιθανή προστασία των οστών σε άτομα με σακχαρώδη διαβήτη τύπου 2 [Μελέτη]
Αναστάτωση για τη Μονάδα τεχνητού νεφρού του νοσοκομείου Χαλκιδικής