Τι Είναι οι Ενδομητρικοί Πολύποδες;
Οι ενδομητρικοί πολύποδες είναι καλοήθεις όγκοι που προέρχονται από το εσωτερικό του ενδομητρίου (την επιθηλιακή επένδυση της μήτρας =ενδομήτριο). Μπορούν να κυμαίνονται σε μέγεθος από μερικά χιλιοστά έως αρκετά εκατοστά και συχνά ανακαλύπτονται κατά τη διάρκεια γυναικολογικών εξετάσεων ρουτίνας ή μέσω απεικονιστικών μελετών, όπως το ενδοκολπικό υπερηχογράφημα.
Ανίχνευση Πολυπόδων με Ενδοκολπικό Υπερηχογράφημα
Το ενδοκολπικό υπερηχογράφημα είναι μια κοινή και αποτελεσματική μέθοδος για την ανίχνευση ενδομητρικών πολυπόδων. Περιλαμβάνει τη χρήση ενός ηχοβολέα που εισάγεται στον κόλπο για να παρέχει λεπτομερείς εικόνες της μήτρας. Αυτή η μέθοδος είναι ιδιαίτερα χρήσιμη για την αναγνώριση πολυπόδων σε μετεμμηνοπαυσιακές γυναίκες, οι οποίες συχνά δεν παρουσιάζουν συμπτώματα.
Ρόλος της Υδρο-υπερηχογραφίας (hydrosonography) στην ανίχνευση και μέτρηση των πολυπόδων
Η υδρο-υπερηχογραφία, είναι μια προχωρημένης τεχνολογίας τεχνική υπερηχογράφησης όπου εγχέεται φυσιολογικός ορός διαμέσου τραχηλικού καθετήρα, στην ενδομητρική κοιλότητα για να βελτιώσει την απεικόνιση. Επειδή το υγρό φαίνεται μαύρο στο υπέρηχο οι επιφάνειες των εσωτερικών ανωμαλιών και πολυπόδων διαχωρίζονται και μπορούν να μετρηθούν αλλά και να χαρτογραφηθούν με μεγαλύτερη ευκρίνεια. Αυτή η μέθοδος βελτιώνει την εκτίμηση της ενδομητρικής κοιλότητας, καθιστώντας ευκολότερη την ανίχνευση και τη μέτρηση των πολυπόδων με ακρίβεια. Η υδρο-υπερηχογραφία είναι ιδιαίτερα ευεργετική για τη διάκριση των πολυπόδων από άλλες ενδομήτριες παθολογίες, παρέχοντας μια καθαρότερη και πιο λεπτομερή αξιολόγηση σε σύγκριση με το απλό δισδιάστατο γυναικολογικό υπερηχογράφημα.
Αυτοί οι πολύποδες είναι αιτία ανησυχίας;
Σε προ-εμμηνοπαυσιακές γυναίκες, η ανεύρεση μικρών ενδομητρικών πολυπόδων χωρίς συμπτώματα, όπως ανώμαλη αιμορραγία ή σημαντική πάχυνση του ενδομητρίου, γενικά δεν προκαλεί ανησυχία. Οι μελέτες δείχνουν ότι ο κίνδυνος για τους μικρούς, ασυμπτωματικούς πολύποδες να είναι κακοήθεις (καρκινικοί) είναι πολύ χαμηλός, συνήθως λιγότερο από 1%.
Παράγοντες κινδύνου για κακοήθεια
Ενώ οι περισσότεροι ενδομητρικοί πολύποδες είναι καλοήθεις, (κάποιοι μάλιστα μπορούν να εξαφανιστούν και να ατροφήσουν με το πέρασμα του χρόνου), οι περισσότεροι παραμένουν ανενεργοί, δεν αναπτύσσονται παραπάνω (να μεγαλώσουν δηλαδή), παρόλα αυτά ορισμένοι παράγοντες κινδύνου μπορούν να αυξήσουν την πιθανότητα να γίνουν κακοήθεις με την πάροδο του χρόνου. Αυτοί περιλαμβάνουν:
Ηλικία της ασθενούς: Ο κίνδυνος ενδομητρικού καρκίνου αυξάνεται με την ηλικία, ειδικά σε μετεμμηνοπαυσιακές γυναίκες.
Παχυσαρκία: το υπερβολικό σωματικό λίπος αυξάνει τα επίπεδα οιστρογόνων, που μπορεί να διεγείρουν την ανάπτυξη του ενδομητρίου.
Υπέρταση: Η υψηλή αρτηριακή πίεση συνδέεται με υψηλότερο κίνδυνο ενδομητρικού καρκίνου.
Διαβήτης: Οι γυναίκες με διαβήτη έχουν μεγαλύτερο κίνδυνο ανάπτυξης ενδομητρικού καρκίνου.
Ορμονοθεραπεία: Η χρήση οιστρογόνων χωρίς προγεστερόνη αυξάνει τον κίνδυνο.
Ταμοξιφαίνη: Μια θεραπεία για τον καρκίνο του μαστού που μπορεί να διεγείρει την ενδομητρική ανάπτυξη του επιθηλίου.
Οικογενειακό Ιστορικό: Το οικογενειακό ιστορικό ενδομητρικού ή συναφών καρκίνων αυξάνει τον κίνδυνο.
Γενετικές Καταστάσεις: Συνθήκες όπως το σύνδρομο Lynch αυξάνουν τον κίνδυνο ενδομητρικού καρκίνου.
Κίνδυνος κακοήθειας ανά ηλικιακή ομάδα
Οι μελέτες δείχνουν ότι ο κίνδυνος κακοήθειας στους ενδομητρικούς πολύποδες αυξάνεται με την ηλικία. Εδώ είναι μια γενική ανάλυση:
- Ηλικία 50-55: Περίπου 1-2% κίνδυνος κακοήθειας.
- Ηλικία 56-60: Περίπου 2-3% κίνδυνος κακοήθειας.
- Ηλικία 61-65: Περίπου 3-5% κίνδυνος κακοήθειας.
- Ηλικία 66 και άνω: Κίνδυνος 5-10%.
Επιλογές διαχείρισης στους ασυμπτωματικούς πολύποδες είναι :
1. Προσεκτική παρακολούθηση - μη εγχειρητική αντιμετώπιση:
- Με τακτική παρακολούθηση των πολυπόδων με ενδοκολπικά υπερηχογραφήματα κάθε 6 έως 12 μήνες. Ιδανική για μικρούς πολύποδες (<1 cm) σε ασθενείς χωρίς επιπλέον παράγοντες κινδύνου.
2. Χειρουργική αντιμετώπιση: Υστεροσκόπηση και Πολυπεκτομή
- Με μια ελάχιστα επεμβατική διαδικασία για την άμεση οπτικά εκτίμηση και αφαίρεση του πολύποδα χρησιμοποιώντας επεμβατική υστεροσκοπική τεχνική με ή χωρίς βιοψία ενδομητρίου.
- Συνιστάται αν ο πολύποδας αλλάξει σε μέγεθος ή εμφάνιση, ή αν η ασθενής εμφανίσει συμπτώματα.
Το χειρουργείο γίνεται με δύο τρόπους:
- Υστεροσκόπηση γραφείου ( Οffice Hysteroscopy) στο Ιατρείο:
Πραγματοποιείται με κατάλληλα εργαλεία για αυτόν το σκοπό σε κλινικό περιβάλλον χωρίς γενική αναισθησία, προσφέροντας μειωμένο κίνδυνο επιπλοκών, ταχύτερη ανάρρωση και χαμηλότερο κόστος για την ασθενή.
- Yστεροσκόπηση υπο Γενική Αναισθησία: Διενεργείται σε νοσοκομείο με γενική αναισθησία, όπου χρησιμοποιούνται μεγαλύτερης διαμέτρου υστεροσκοπική οπτική ίνα και υστεροσκοπικά εργαλεία. Υπάρχει όμως υψηλότερο κίνδυνος επιπλοκών και μεγαλύτερος χρόνος ανάρρωσης και κόστος για τους ασθενείς.
3. Βιοψία Ενδομητρίου:
Είναι η αφαίρεση υστεροσκοπικά ενός μικρού δείγματος ενδομητρικού ιστού για μικροσκοπική εξέταση όπως επίσης αν είναι δυνατόν αφαίρεση όλου του πολύποδα ή βιοψία από τον πολύποδα. Εξετάζεται αν υπάρχουν ανησυχίες για κακοήθεια βάσει ευρημάτων υπερηχογραφήματος ή παραγόντων κινδύνου της ασθενούς.
Παρακολούθηση και κίνδυνος κακοήθειας
Η παρακολούθηση μικρών, ασυμπτωματικών ενδομητρικών πολυπόδων με ενδοκολπικό υπερηχογράφημα είναι μια ασφαλής και αποτελεσματική προσέγγιση. Επίσης η ενδελεχής και συστηματική απεικονιστική διερεύνηση κατά την παρακολούθηση μπορεί να εντοπίσει στοιχεία τα οποία σχετίζονται με πιθανή κακοήθεια όπως η ταυτόχρονη πάχυνση του ενδομητρίου, αλλαγή της εικόνας αγγείωσης του πολύποδα, κυστικές μορφές και εμφάνιση περισσότερων πολυπόδων σε βραχυπρόθεσμο χρόνο παρακολούθησης, οπότε σ’ αυτές περιπτώσεις θα χρειαστεί επεμβατική μέθοδος διάγνωσης και θεραπείας.
Αν οι πολύποδες παρουσιάσουν αλλαγές σε μέγεθος ή εμφάνιση κατά την παρακολούθηση, ο κίνδυνος κακοήθειας αυξάνεται περίπου 5-20%, και συνιστάται περαιτέρω διαγνωστική παρέμβαση, όπως υστεροσκόπηση και βιοψία.
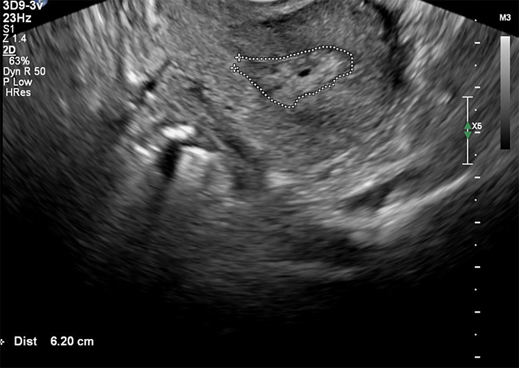
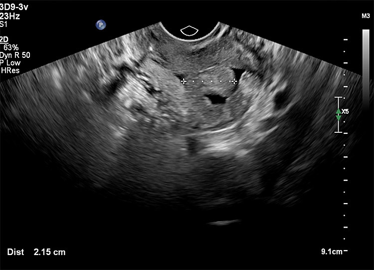
Οι παρακάτω τέσσερις εικόνες δείχνουν:
Δυο υπερηχογραφικές μελέτες πολύποδα και πώς διερευνάμε το ενδομήτριο ( 1 και 2 )


και οι δύο τελευταίες εικόνες κυστεοσκόπησης ( 3 και 4), δείχνουν πώς φαίνεται ο πολύποδας πριν την αφαίρεσή του και πώς φαίνεται το ενδομήτριο μετά την ολοκλήρωση της επέμβασης.


Συμπέρασμα
Για μετεμμηνοπαυσιακές γυναίκες, η ανεύρεση μικρών, ασυμπτωματικών ενδομητρικών πολυπόδων μέσω ενδοκολπικού υπερηχογραφήματος δεν αποτελεί συνήθως άμεση αιτία ανησυχίας. Η συντηρητική διαχείριση με τακτική παρακολούθηση είναι μια κοινή και ασφαλής προσέγγιση. Οι ατομικές προτιμήσεις και οι παράγοντες κινδύνου πρέπει πάντα να λαμβάνονται υπόψη, και η διαβούλευση με έναν επαγγελματία υγείας είναι κρίσιμη για τον προσδιορισμό της καλύτερης πορείας δράσης.
Με την κατανόηση των επιλογών και τη στενή συνεργασία με τους επαγγελματίες υγείας, οι γυναίκες μπορούν να λάβουν ενημερωμένες αποφάσεις για να διασφαλίσουν την υγεία και την ηρεμία τους.
Αναφορές
- Αμερικανικό Κολλέγιο Μαιευτήρων και Γυναικολόγων (ACOG)
- Βασιλικό Κολλέγιο Μαιευτήρων και Γυναικολόγων (RCOG)
- Ευρωπαϊκή Εταιρεία Γυναικολογικής Ογκολογίας (ESGO)
- Εταιρεία Γυναικολογικής Ογκολογίας (SGO)
Ειδήσεις υγείας σήμερα
Ι. Βαρδακαστάνης: Το αναπηρικό κίνημα συνεχίζει να αγωνίζεται και να διεκδικεί
Ενδυνάμωση των ασθενών: Καμπάνια ευαισθητοποίησης για την ενίσχυση υιοθέτησης της περιτοναϊκής κάθαρσης στην Ελλάδα
Πνευμονία: Βακτηριακό ένζυμο είναι πιθανό να προκαλεί μοιραίες καρδιακές επιπλοκές [μελέτη]