Kατά 5 δισ. δολ. αναμένεται να αυξηθεί η αγορά των σκευασμάτων για την καταπολέμηση της λευχαιμίας μέχρι το 2024 φθάνοντας τα 17,1 δισ. δολ. από 12,3 δισ. δολ. το 2019, σημειώνοντας μέσο ετήσιο ρυθμό αύξησης της τάξεως του 6,6%.  Οι σημαντικότεροι παράγοντες στην αγορά αυτή είναι οι Sanofi (Γαλλία), AbbVie (ΗΠΑ), Bristol-Myers Squibb (ΗΠΑ), Novartis (Ελβετία), F. Hoffmann-La Roche (Ελβετία), Pfizer (ΗΠΑ) Takeda Pharmaceutical (Ιαπωνία), Gilead Sciences (Η.Π.Α.) και Celgene (US).

Όπως αναφέρεται στην έκθεση, η αύξηση του αριθμού των ατόμων της Τρίτης ηλικίας και η εισαγωγή καινομότων θεραπειών αναμένεται να είναι οι δύο βασικότεροι παράγοντες ανόδου της σχετικής αγοράς, ενώ η πολυπλοκότητα στην παραγωγή των φαρμάκων είναι η παράμετρος που ενδεχομένως να περιορίσει την μεγέθυνση της αγοράς.

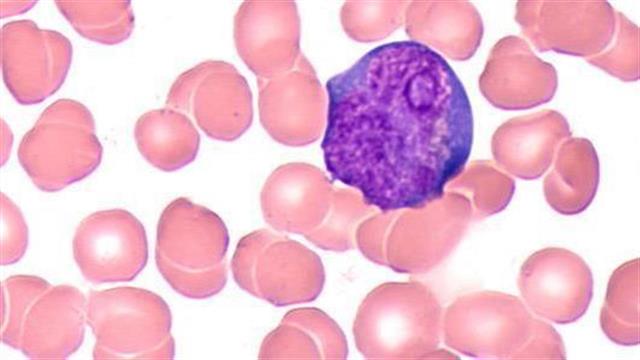
Το τμήμα της χρόνιας μυελογενούς λευχαιμίας αναμένεται να αντιπροσωπεύσει το μεγαλύτερο μερίδιο αγοράς. Η υψηλή συχνότητα εμφάνισης της χρόνιας μυελοειδούς λευχαιμίας και ο μεγάλος αριθμός των επιλογών που είναι διαθέσιμες για την θεραπεία της νόσου είναι οι κύριοι παράγοντες που καθορίζουν την ανάπτυξη αυτού του τμήματος της αγοράς. Στις ΗΠΑ, σχεδόν το 15% των νέων περιπτώσεων λευχαιμίας που διαγιγνώσκονται είναι η ΧΜΛ. Αυτό σημαίνει ότι 1 στους 526 που έχουν διαγνωστεί με χρόνια μυελογενή λευχαιμία είναι στις ΗΠΑ.

Το 2018, η κατηγορία των μικρών μορίων αντιπροσώπευε το μεγαλύτερο μερίδιο της αγοράς. Αυτό οφείλεται κυρίως στη διαθεσιμότητα μεγάλου αριθμού χημειοθεραπευτικών και στοχευμένων φαρμάκων - τα οποία είναι μικρά μόρια. Έχει επίσης εγκριθεί ένας μεγάλος αριθμός μικρών μορίων φαρμάκων, τα οποία αναμένεται να οδηγήσουν στην ανάπτυξη της αγοράς.

Γεωγραφικά, η Βόρεια Αμερική αναμένεται να αντιπροσωπεύσει το μεγαλύτερο μερίδιο παγκοσμίως. Η αύξηση του αριθμού των ασθενών με λευχαιμία, τα νέα φάρμακα και οι θεραπείες που προσφέρονται, η υψηλή χρηματοδότηση της έρευνας για τη θεραπεία της λευχαιμίας είναι οι κύριοι παράγοντες που οδηγούν αυτή την αγορά. Το 2018, σύμφωνα με την εταιρεία λευχαιμίας και λεμφώματος, 381.774 άνθρωποι ζούσαν με τη νόσο στις ΗΠΑ. Σύμφωνα με το Καναδική Αντικαρκινική Εταιρεία, σχεδόν 138.100 άνθρωποι στον Καναδά ζουν (ή βρίσκονται σε ύφεση) με καρκίνο του αίματος (στοιχεία του 2016). Επιπλέον, περίπου 22.340 Καναδοί όλων των ηλικιών διαγνώστηκαν με μια μορφή καρκίνου του αίματος, συμπεριλαμβανομένων και 5.900 κρουσμάτων λευχαιμίας.

Ειδήσεις υγείας σήμερα
Ι. Βαρδακαστάνης: Το αναπηρικό κίνημα συνεχίζει να αγωνίζεται και να διεκδικεί
Ενδυνάμωση των ασθενών: Καμπάνια ευαισθητοποίησης για την ενίσχυση υιοθέτησης της περιτοναϊκής κάθαρσης στην Ελλάδα
Πνευμονία: Βακτηριακό ένζυμο είναι πιθανό να προκαλεί μοιραίες καρδιακές επιπλοκές [μελέτη]