Το γλαύκωμα είναι μια ομάδα οφθαλμικών παθήσεων που προκαλούν βλάβη του οπτικού νεύρου. Είναι, δηλαδή, μια χρόνια εξελικτική νευροπάθεια που συνήθως συνοδεύεται από αύξηση της ενδοφθάλμιας πίεσης.
![]() Φυσιολογικό Οπτικό Νεύρο |
![]() Οπτικό Νεύρο με μικρή βλάβη |
![]() Οπτικό Νεύρο με μεγάλη βλάβη |
|
Στάδια Όρασης Ασθενών με Γλαύκωμα
![]() Φυσιολογική Όραση |
![]() Αρχόμενο Γλαύκωμα |
![]() Προχωρημένο Γλαύκωμα |
![]() Γλαύκωμα σχεδόν Τελικού Σταδίου |
Τι δημιουργεί την ενδοφθάλμια πίεση;
Η ενδοφθάλμια πίεση δημιουργείται από το υγρό που γεμίζει το πρόσθιο τμήμα του ματιού και ονομάζεται υδατοειδές υγρό. Αυτό το υγρό παράγεται πίσω από την ίριδα σε μια περιοχή που ονομάζεται ακτινωτό σώμα.
Το υγρό αυτό δια μέσω της κόρης έρχεται εμπρός από την ίριδα και κινείται προς την περιοχή που σχηματίζεται από τον κερατοειδή (το διαφανές παράθυρο του ματιού) και την ίριδα, την γωνία του ματιού, απ’ όπου και αποχετεύεται.
Στα φυσιολογικά μάτια υπάρχει ισορροπία μεταξύ του παραγόμενου και του αποχετευόμενου υγρού. Όταν αυτή η ισορροπία διαταράσσεται, λόγω συνήθως μείωσης της αποχέτευσης, τότε αυξάνει η πίεση στο μάτι.

Είναι πάντα αυξημένη η ενδοφθάλμια πίεση στο Γλαύκωμα;
Όπως αναφέρθηκε ήδη το γλαύκωμα συνήθως συνοδεύεται από αυξημένη ενδοφθάλμια πίεση. Υπάρχει όμως και το Γλαύκωμα Φυσιολογικής ή Χαμηλής Πίεσης όπου παρατηρείται βλάβη του οπτικού νεύρου χωρίς αύξηση της ενδοφθάλμια πίεση.
Σ' αυτή τη μορφή γλαυκώματος σημαντικό ρόλο παίζει ο αγγειακός παράγοντας. Επίσης αυξημένη ενδοφθάλμια πίεση μόνο, δεν σημαίνει γλαύκωμα αν δεν παρατηρείται βλάβη του οπτικού νεύρου.
Η κατάσταση αυτή ονομάζεται οφθαλμική υπερτονία.
Υπάρχουν διάφοροι τύποι Γλαυκώματος;
Υπάρχουν τέσσερις βασικοί τύποι γλαυκώματος: Πρωτοπαθές γλαύκωμα ανοιχτής γωνίας, πρωτοπαθές γλαύκωμα κλειστής γωνίας, δευτεροπαθές γλαύκωμα και συγγενές γλαύκωμα.
Πρωτοπαθές Γλαύκωμα ανοιχτής γωνίας (χρόνιο απλό Γλαύκωμα)
Είναι ο πιο συχνός τύπος γλαυκώματος. Η ενδοφθάλμια πίεση αυξάνει με αργό ρυθμό χωρίς παρουσία συμπτωμάτων στα πρώιμα στάδια της πάθησης. Για το λόγο αυτό περίπου το 45% των γλαυκωμάτων είναι αδιάγνωστα σύμφωνα και με τις πιο πρόσφατες στατιστικές.
Πρωτοπαθές Γλαύκωμα κλειστής γωνίας
Αυτός ο τύπος γλαυκώματος είναι συχνότερος στους ασιάτες. Η ενδοφθάλμια πίεση αυξάνει ξαφνικά (οξύ γλαύκωμα) και προκαλεί έντονο πόνο στην περιοχή του ματιού που συνοδεύεται από έγχρωμους κύκλους γύρω από τα φώτα, θάμπωμα στην όραση και κόκκινο μάτι.
Είναι επείγουσα κατάσταση που απαιτεί άμεση αντιμετώπιση.

Δευτεροπαθές Γλαύκωμα
Μπορεί να είναι είτε ανοιχτής είτε κλειστής γωνίας. Οφείλεται στην ύπαρξη άλλης τοπικής ή συστηματικής αιτίας που προκαλεί αύξηση της ενδοφθάλμια πίεσης.
Συγγενές Γλαύκωμα
Είναι μια σπάνια κατάσταση που εμφανίζεται με συχνότητα περίπου 1:10000 γεννήσεις αφορά κυρίως αγόρια και στο 75% είναι αμφοτερόπλευρο μπορεί δε να συνοδεύεται και από άλλα οφθαλμολογικά προβλήματα.

Συγγενές Γλαύκωμα
Παράγοντες κινδύνου για Γλαύκωμα
- Ηλικία Η συχνότητα του χρόνιου απλού γλαυκώματος αυξάνει με την ηλικία. Είναι ασυνήθιστο κάτω από την ηλικία των 40 αλλά η συχνότητά του αυξάνει στο 2% μετά την ηλικία των 40 και στο 4% του πληθυσμού μετά την ηλικία των 80 ετών
- Φυλή Οι μαύροι έχουν 4 φορές μεγαλύτερο κίνδυνο σε σχέση με τους λευκούς να πάθουν γλαύκωμα. Το γλαύκωμα που εμφανίζουν συνήθως είναι πιο επιθετικό και εμφανίζεται σε νεαρότερη ηλικία. Οι ασιάτες έχουν αυξημένο κίνδυνο να πάθουν γλαύκωμα κλειστής γωνίας.
- Οικογενειακό ιστορικό Άτομα με οικογενειακό ιστορικό γλαυκώματος έχουν περίπου 4 φορές μεγαλύτερο κίνδυνο να αναπτύξουν γλαύκωμα.
- Διαθλαστικά προβλήματα Οι μύωπες παρουσιάζουν αυξημένο κίνδυνο ν’ αναπτύξουν χρόνιο απλό γλαύκωμα και οι υψηλοί υπερμέτρωπες ν αναπτύξουν γλαύκωμα κλειστής γωνίας
- Καρδιαγγειακοί παράγοντες Οι πάσχοντες από ημικρανία, σύνδρομο Reynaud, υπόταση, σύνδρομο άπνοιας κατά τον ύπνο έχουν αυξημένο κίνδυνο να πάθουν γλαύκωμα(ιδιαίτερα γλαύκωμα φυσιολογικής πίεσης)
- Λεπτός κερατοειδής Ο κερατοειδής είναι ο διαφανής χιτώνας του ματιού μας που ευρίσκεται εμπρός από την ίριδα. Κερατοειδής λεπτότερος του μέσου όρου αποτελεί παράγοντα κινδύνου τόσο για την εμφάνιση όσο και για την εξέλιξη του γλαυκώματος.
- Διαβήτης Οι διαβητικοί παρουσιάζουν αυξημένο κίνδυνο ν αναπτύξουν γλαύκωμα αν και δεν είναι ξεκάθαρο αν υπάρχει απ ευθείας σχέση μεταξύ τους.
Tι πρέπει να κάνω αν έχω αυξημένο κίνδυνο για Γλαύκωμα;
Όλοι όσοι έχουν παράγοντες κινδύνου για γλαύκωμα πρέπει να υποβάλλονται σε ετήσιο οφθαλμολογικό έλεγχο που περιλαμβάνει τονομέτρηση (μέτρηση της ενδοφθάλμια πίεσης) και βυθοσκόπηση (έλεγχο του οπτικού νεύρου) Αν υπάρχουν ύποπτα σημεία γλαυκώματος πρέπει να υποβάλλεται και σε εξέταση οπτικού πεδίου.

Θεραπεύεται το Γλαύκωμα;
H βλάβη στο γλαύκωμα είναι μόνιμη αλλά με την κατάλληλη αγωγή μπορεί να προληφθεί ή να ανασταλεί η εξέλιξη της. Η φαρμακευτική αγωγή είναι ιδιαίτερα σημαντική ακόμη κι αν η όραση είναι ή φαίνεται ότι είναι φυσιολογική γιατί η επιδείνωση της μπορεί να συμβεί χωρίς να γίνει αντιληπτή από τον ασθενή.
Tι προσφέρει η θεραπεία;
Η θεραπεία βοηθά στο να μειώσει την ενδοφθάλμια πίεση. Ο γιατρός συχνά θέτει την πίεση στόχο. Αυτή είναι η πίεση που ο γιατρός θεωρεί ότι αναστέλλει την εξέλιξη της γλαυκωματικής βλάβης. Μπορεί να αναπροσαρμόζεται ανάλογα με την εικόνα του οπτικού νεύρου και του οπτικού πεδίου
Τι τύποι θεραπείας υπάρχουν;
H αρχική θεραπεία συνήθως είναι οφθαλμικές σταγόνες που σκοπό έχουν να ελαττώσουν την ενδοφθάλμια πίεση. Υπάρχουν πέντε ομάδες τέτοιων φαρμάκων και ο γιατρός σας θα επιλέξει τις κατάλληλες για εσάς. Άλλα φάρμακα μειώνουν την παραγωγή υδατοειδούς υγρού, άλλα αυξάνουν την αποχέτευση και άλλα δρουν και με τους δύο τρόπους.
Για να είναι αποτελεσματικά τα φάρμακα θα πρέπει να μπαίνουν τακτικά και σε συνεχή βάση. Σε μερικούς ασθενείς η φαρμακευτική θεραπεία δεν είναι επαρκής και απαιτείται LASER ή χειρουργική θεραπεία.
Πώς πρέπει να βάζω τις σταγόνες μου;
Υπάρχουν πολλοί τρόποι να βάζετε τις σταγόνες σας. Ένας απλός τρόπος είναι να γύρετε το κεφάλι σας προς τα πίσω, να τραβήξετε προς τα κάτω το κάτω βλέφαρο και να ρίξετε τη σταγόνα στο χώρο που δημιουργείται ανάμεσα στο μάτι και στο βλέφαρο.
Κλείστε απαλά τα μάτια και πιέστε με το δάχτυλο σας στην έσω γωνία του ματιού για περίπου 2-3 λεπτά. Έτσι και το φάρμακο παραμένει περισσότερη ώρα στο μάτι και η πιθανότητα συστηματικών παρενεργειών μειώνεται. Αν χρησιμοποιείτε περισσότερες από μία σταγόνες αφήστε τουλάχιστον πέντε λεπτά μεταξύ τους.

Μπορεί να έχω παρενέργειες από τις σταγόνες;
Όπως όλα τα φάρμακα έτσι και οι σταγόνες για το γλαύκωμα μπορεί να προκαλέσουν παρενέργειες τοπικές ή συστηματικές. Αν παρατηρείτε κάτι ενοχλητικό να συμβαίνει επικοινωνήστε με το γιατρό σας. Μην ξεχάσετε επίσης να ενημερώσετε το γιατρό σας για κάθε άλλο πρόβλημα υγείας που τυχόν έχετε ή για φάρμακα που για άλλες παθήσεις παίρνετε.

Οι πιο συχνές παρενέργειες είναι:
- Αίσθημα ξένου σώματος
- Κόκκινα μάτια
- Θολή όραση
- Πονοκέφαλος
- Διαταραχές της καρδιακής συχνότητας
- Δυσκολία στην αναπνοή
Laser θεραπεία
H θεραπεία με LASER είναι κατάλληλη μόνο για ορισμένους τύπους γλαυκωμάτων.
Υπάρχουν δύο κύριοι τύποι LASER θεραπείας. H ALT (Argon Laser Trabeculoplasty) και η SLT (Selective Laser Trabeculoplasty). Eπίσης το LASER μπορεί να χρησιμοποιηθεί σαν προληπτική θεραπεία σε περιπτώσεις στενής γωνίας (LASER IRIDOTOMY) για αποφυγή κρίσης οξέως γλαυκώματος.

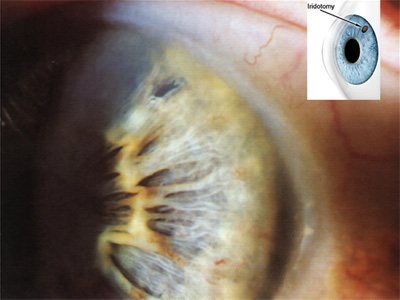
Laser Ιριδοτομής
Χειρουργική θεραπεία
Όταν η φαρμακευτική ή η LASER θεραπεία αδυνατεί να ελέγξει την εξέλιξη του γλαυκώματος ή όταν παρατηρείται δυσανεξία ή μη συμμόρφωση στη φαρμακευτική θεραπεία προχωράμε σε χειρουργική επέμβαση.
Είδη χειρουργικών επεμβάσεων
Η πιο συχνή αντιγλαύκωματική επέμβαση είναι η τραμπεκουλεκτομή. Σ' αυτήν δημιουργούμε στο άσπρο του ματιού (στο σκληρό χιτώνα) ένα καλυμμένο τούνελ που παροχετεύει το υδατοειδές υγρό από το εσωτερικό του ματιού σε μια μικρή φυσαλίδα κάτω από το άνω βλέφαρο.
Έτσι ελαττώνεται η πίεση του υδατοειδούς υγρού και επομένως και η πίεση στο οπτικό νεύρο η οποία προκαλεί την απώλεια της όρασης στο γλαύκωμα.

Άλλες αντιγλαύκωματικές επεμβάσεις είναι:
- Μη διατιτρένουσες επεμβάσεις
- Ένθεση βαλβίδων
- Κυκλοκαταστροφικές επεμβάσεις
Είναι πάντα επιτυχημένη η χειρουργική επέμβαση;
Οι περισσότερες μελέτες αναφέρουν ότι οι περισσότεροι ασθενείς θα επιτύχουν χαμηλές πιέσεις μετά από μία εγχείρηση τραμπεκουλεκτομής. Το ποσοστό επιτυχίας της επέμβασης στον έλεγχο της ενδοφθάλμια πίεσης διαφέρει ανάλογα με τον τύπο του γλαυκώματος, προηγούμενες εγχειρήσεις, τη φυλή την ηλικία και άλλες καταστάσεις.
Σε ασθενείς χαμηλού κινδύνου το ποσοστό επιτυχίας αγγίζει το 90%. Τα 2/3 των μέσου κινδύνου ασθενών θα επιτύχουν ικανοποιητική πίεση χωρίς σταγόνες. Το 1/3-1/4 των ασθενών θα χρειαστούν και κάποιο φάρμακο και ένα μικρότερο ποσοστό θα χρειαστούν περαιτέρω χειρουργική επέμβαση.
Σπανιότερα κάποιοι ασθενείς θα παρουσιάσουν χαμηλή πίεση για μεγάλο χρονικό διάστημα και θα χρειαστούν επιπλέον χειρουργική επέμβαση για την αύξηση της ενδοφθάλμια πίεσης.
Υπάρχει πρόληψη στο Γλαύκωμα;
Η απώλεια της όρασης στο γλαύκωμα μπορεί ν αποφευχθεί με την έγκαιρη διάγνωση και θεραπεία της πάθησης. Όμως ακόμη και στις αναπτυγμένες δυτικές κοινωνίες τα μισά περίπου γλαυκώματα παραμένουν αδιάγνωστα καθώς το γλαύκωμα εμφανίζει συμπτώματα μόνο στα τελευταία στάδια της ασθένειας.
Οι ειδικοί τονίζουν πως η ποιότητα ζωής των ασθενών πλήττεται σοβαρά καθώς έχουν μειωμένη ικανότητα εκτέλεσης καθημερινών δραστηριοτήτων που περιλαμβάνουν την οδήγηση, τον εντοπισμό αντικειμένων, το ανεβοκατέβασμα σκάλας και την αναγνώριση προσώπων.
Γι' αυτό:
Αν είστε >45 ετών
Αν έχετε οικογενειακό ιστορικό γλαυκώματος
Αν είστε μύωπας
Αν ανήκετε στη μαύρη φυλή
Πρέπει να υποβάλλεστε σε πλήρη οφθαλμολογικό έλεγχο κάθε χρόνο.
Τι είναι η νευροπροστασία;
H έννοια της νευροπροστασίας αναπτύχθηκε στα τέλη της προηγούμενης δεκαετίας. Η ιδέα ήταν να κάνουμε τα νευρικά κύτταρα του οπτικού νεύρου ανθεκτικά στη διαδικασία του κυτταρικού θανάτου που ονομάζεται απόπτωση.
Αν λοιπόν με κάποιο τρόπο αναστείλουμε το μηχανισμό της απόπτωσης, τότε θα επιτρέψουμε στα νευρικά κύτταρα να επιζήσουν ανεξάρτητα από την ενδοφθάλμια πίεση. Η πρώτη κλινική δοκιμή αφορούσε την ουσία memantine. Δυστυχώς όμως μετά από μακρόχρονες κλινικές δοκιμές τα αποτελέσματα δεν ήταν τα προσδοκώμενα και το ερευνητικό πρόγραμμα διεκόπη.
Σήμερα μία άλλη χημική ουσία, η tacrolimus, δοκιμάζεται στο Harvard ενώ στο Johns Hopkins μελετάται η αποτελεσματικότητα ενός γενετικά σχεδιασμένου ιού που ενίεται στον οφθαλμό. Η θεραπεία αυτή στοχεύει στην αλλαγή του γονιδιώματος των γαγγλιακών κυττάρων ούτως ώστε να προστατεύονται από βλαπτικές επιδράσεις.
Συμπερασματικά
- Το γλαύκωμα είναι μια ομάδα παθήσεων που προκαλούν βλάβη του οπτικού νεύρου συνήθως λόγω αύξησης της ενδοφθάλμια πίεσης.
- Το γλαύκωμα είναι μια από τις συχνότερες οφθαλμικές παθήσεις στους ηλικιωμένους. Περίπου 2% του πληθυσμού πάνω από τα 40 θα παρουσιάσει κάποιο τύπο γλαυκώματος και η συχνότητα αυξάνεται με την ηλικία.
- Υπολογίζεται ότι στις χώρες της Ευρωπαϊκής Ένωσης σήμερα πάσχουν 9,25 εκατομμύρια άνθρωποι από γλαύκωμα αριθμός που θα φτάσει στα 12,4 εκατομμύρια την επόμενη δεκαετία.
- Αν μείνει χωρίς θεραπεία το γλαύκωμα μπορεί να οδηγήσει σε τύφλωση.
- Παρ’ όλα αυτά η βλάβη μπορεί να περιοριστεί αν το γλαύκωμα διαγνωστεί έγκαιρα και θεραπευτεί.
Ειδήσεις υγείας σήμερα
Ι. Βαρδακαστάνης: Το αναπηρικό κίνημα συνεχίζει να αγωνίζεται και να διεκδικεί
Ενδυνάμωση των ασθενών: Καμπάνια ευαισθητοποίησης για την ενίσχυση υιοθέτησης της περιτοναϊκής κάθαρσης στην Ελλάδα
Πνευμονία: Βακτηριακό ένζυμο είναι πιθανό να προκαλεί μοιραίες καρδιακές επιπλοκές [μελέτη]






