Η μη αλκοολική λιπώδης νόσος του ήπατος (ΜΑΛΝΗ) ορίζεται ως η συσσώρευση λίπους στο ήπαρ σε άτομα που καταναλώνουν ελάχιστο ή καθόλου αλκοόλ. Ο Σπήλιος Μανωλακόπουλος (Καθηγητής Παθολογίας - Γαστρεντερολογίας, Υπεύθυνος Ηπατο-Γαστρεντερολογικής Μονάδος, Β΄ Παθολογική Κλινική, ΓΝΑ Ιπποκράτειο, Ιατρική Σχολή, ΕΚΠΑ) και η Κωνσταντίνα Τηνιακού (Καθηγήτρια Παθολογικής Ανατομικής - Διευθύντρια Παθολογοανατομικού Εργαστηρίου, Αρεταιείου Νοσοκομείου, Ιατρική Σχολή, ΕΚΠΑ) αναφέρουν ότι η ΜΑΛΝΗ σχετίζεται με την παχυσαρκία, το σακχαρώδη διαβήτη, την υπέρταση και την υπερχοληστεριναιμία και θεωρείται από πολλούς η ηπατική εκδήλωση του μεταβολικού συνδρόμου. Η ΜΑΛΝΗ προκαλεί  ένα ευρύ φάσμα ηπατικών βλαβών που κυμαίνονται από την απλή στεάτωση, δηλαδή την συσσώρευση τριγλυκεριδίων στα ηπατοκύτταρα (στέαρ στα αρχαία ελληνικά σημαίνει λίπος), μέχρι την  ανάπτυξη μη αλκοολικής στεατοηπατίτιδας (ΜΑΣΗ) με επιπρόσθετη φλεγμονή,  ηπατοκυτταρική βλάβη (διόγκωση) και, στη συνέχεια, ίνωση με ανάπτυξη ουλών στο ήπαρ, η οποία εξελισσόμενη μπορεί σε γενετικά προδιαθετειμένα άτομα να οδηγήσει σε κίρρωση.

Η ΜΑΛΝΗ αποτελεί τη συχνότερη χρόνια ηπατοπάθεια στη Δύση,  με πρόσφατη μελέτη να ανεβάζει τη συχνότητά της στο 25% με τον υψηλότερο επιπολασμό στις χώρες της Μέσης Ανατολής. Σχετίζεται με το σύγχρονο τρόπο ζωής και πιο συγκεκριμένα με την περιορισμένη σωματική δραστηριότητα και την πλούσια σε ζωικό λίπος δίαιτα. Στην Ελλάδα σε αιμοδοτικό πληθυσμό, ο επιπολασμός της ΜΑΛΝΗ ήταν 17%. Η συχνότητά της αυξάνεται μετά την ηλικία των 40 ετών, ενώ μετά τα 70 έτη παρουσιάζονται  τα περισσότερα περιστατικά με τις σοβαρές συνέπειες της χρόνιας ηπατοπάθειας, όπως είναι η κίρρωση και το ηπατοκυτταρικό καρκίνωμα. Ιδιαίτερα ανησυχητικά είναι τα επιδημιολογικά δεδομένα σε παιδιατρικούς πληθυσμούς με τη ΜΑΛΝΗ να ανευρίσκεται στο 53% των παχύσαρκων παιδιών,  ενώ έχουν καταγραφεί  περιπτώσεις παιδιών  κάτω των 12 ετών με κίρρωση του ήπατος ή με ανάγκη για μεταμόσχευση ήπατος. 

Δεδομένης  της  σημαντικής  αύξησης  της παχυσαρκίας αναμένεται άνοδος  του επιπολασμού και της βαρύτητας της ΜΑΛΝΗ. Με διάφορα μοντέλα υπολογισμού εκτιμάται έως το 2030 αύξηση κατά 20% των ατόμων με απλή στεάτωση και κατά 50-63% περίπου των περιπτώσεων ΜΑΣΗ και κίρρωσης.

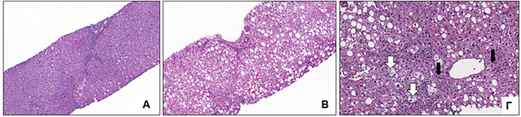
Η ΜΑΛΝΗ είναι ασυμπτωματική κατάσταση και η διάγνωση γίνεται επ’ ευκαιρία κάποιου τυχαίου αιματολογικού ελέγχου, με τον οποίο αναδεικνύεται αύξηση στις τιμές ηπατικών ένζύμων ή ελέγχου με υπερηχογράφημα κοιλίας, με το οποίο παρατηρείται λιπώδης αλλαγή στο ήπαρ. Ειδικοί μη επεμβατικοί δείκτες μπορούν με ασφάλεια να αναδείξουν ποιοι ασθενείς έχουν προχωρημένη βλάβη με ανάπτυξη ίνωσης ή ακόμα και κίρρωση και να παραπεμφθούν σε ειδικά κέντρα. Όμως, η διάγνωση της ΜΑΣΗ, δηλαδή της εξελικτικής μορφής της ΜΑΛΝΗ, βασίζεται ακόμη στη βιοψία ήπατος (Εικόνα 1), η οποία ενδείκνυται σε επιλεγμένους ασθενείς που παρουσιάζουν ασαφή αποτελέσματα στις τιμές μη επεμβατικών δεικτών καθώς και σε περιπτώσεις με υποψία συνυπάρχουσας ηπατικής πάθησης. Τονίζεται ότι όλοι οι ασθενείς με σακχαρώδη διαβήτη πρέπει να υποβληθούν  σε έλεγχο για ΜΑΛΝΗ και, αντίστροφα,  οι ασθενείς με ενδείξεις ΜΑΛΝΗ να εξετασθούν για προδιαβήτη ή διαβήτη. Τα υπέρβαρα ή παχύσαρκα άτομα ή τα άτομα με κεντρικού τύπου σπλαχνική παχυσαρκία πρέπει να υποβληθούν σε υπερηχογράφημα ήπατος.

Η πορεία των ατόμων με ΜΑΛΝΗ εξαρτάται κυρίως από την βαρύτητα των ηπατικών βλαβών. Η απλή στεάτωση δεν ενέχει κίνδυνο για ανάπτυξη επιπλοκών από το ήπαρ. Αντίθετα, η παρουσία προχωρημένης ίνωσης και κίρρωσης σχετίζεται με αυξημένο κίνδυνο επιπλοκών και θανάτου. Να τονισθεί ότι τα καρδιαγγειακά συμβάματα και οι νεοπλασίες είναι οι κύριες αιτίες θανάτου σε ασθενείς με ανεπίπλεκτη ΜΑΛΝΗ, επομένως  η επιτυχής και επιθετική αντιμετώπιση των σχετιζόμενων μεταβολικών παραγόντων είναι απαραίτητη.  

Παρά τις συνεχείς και εντατικές ερευνητικές προσπάθειες δεν υπάρχει διαθέσιμη φαρμακευτική θεραπεία  για την ΜΑΛΝΗ και τη ΜΑΣΗ. Επομένως, η απώλεια σωματικού βάρους,  η μεσογειακού τύπου δίαιτα, πλούσια σε όσπρια, λαχανικά και φρούτα,και η αεροβική σωματική άσκηση συνιστούν τη βάση της αντιμετώπισής της παράλληλα με τη διαχείριση του καρδιαγγειακού κινδύνου.

 

Εικόνα 1.Εικόνες μικροσκοπίου βιοψιών με βελόνα από: Α. Φυσιολογικό ήπαρ (μεγέθυνση x40), Β. Ήπαρ με απλή στεάτωση (οι λευκοί κύκλοι αντιστοιχούν στο λίπος μέσα στα ηπατοκύτταρα) (x40), Γ. Ήπαρ με στεατοηπατίτιδα, όπου επιπλέον της στεάτωσης υπάρχει ηπατοκυτταρική διόγκωση (λευκά βέλη) και φλεγμονή (μαύρα βέλη) (x100).

Ειδήσεις υγείας σήμερα
Ι. Βαρδακαστάνης: Το αναπηρικό κίνημα συνεχίζει να αγωνίζεται και να διεκδικεί
Ενδυνάμωση των ασθενών: Καμπάνια ευαισθητοποίησης για την ενίσχυση υιοθέτησης της περιτοναϊκής κάθαρσης στην Ελλάδα
Ποιες τροφές αυξάνουν την καλή χοληστερόλη