Επιστήμη & Ζωή

Φίλτρα άρθρων

Τρίτη, 18 Σεπτεμβρίου 2018, 15:51

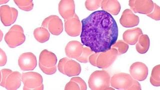
Εγκριση από την Ευρωπαϊκή Επιτροπή για την CAR-T θεραπεία, tisagenlecleucel

Το tisagenlecleucel, το οποίο αναπτύχθηκε σε συνεργασία με το Πανεπιστήμιο της Πενσυλβάνια (Penn), είναι μια πρωτοποριακή, εφάπαξ θεραπεία που αξιοποιεί τα Τ κύτταρα του ίδιου του ασθενούς για την καταπολέμηση του καρκίνου.

Τρίτη, 18 Σεπτεμβρίου 2018, 15:29

Έρευνα: Η ατμοσφαιρική ρύπανση μπορεί να φτάσει και στον πλακούντα

ΜΙκρή έρευνα έδειξε ότι ο μολυσμένος αέρας που εισπνέεται από την έγκυο μπορεί να ταξιδέψει μέσω του κυκλοφορικού στον πλακούντα.

Τρίτη, 18 Σεπτεμβρίου 2018, 13:48

Ρινοπλαστική: Υπάρχει περιορισμός στον αριθμό των επαναληπτικών επεμβάσεων;

Η δευτερογενής χειρουργική επέμβαση, γνωστή και ως revision, είναι πιο πολύπλοκη και απαιτητική από την αρχική και ενέχει υψηλότερα ποσοστά επιπλοκών, εκτός εάν εκτελείται από εξειδικευμένο σε αυτές τις επεμβάσεις χειρουργό.

Τρίτη, 18 Σεπτεμβρίου 2018, 13:34

Μάτια: Τι να προσέχουν οι έφηβοι και οι φοιτητές

H πολυάσχολη ζωή τους δεν πρέπει να τους κάνει να παραμελήσουν την υγεία των ματιών τους.

Δευτέρα, 17 Σεπτεμβρίου 2018, 20:02

Χημικές ουσίες σε προϊόντα ευρείας χρήσης συνδέονται με νεφρικά προβλήματα

Οι χημικές ουσίες PFAS δεν είναι βιοδιασπώμενες. Οι άνθρωποι εκτίθενται σε αυτές μέσω μολυσμένου εδάφους, τροφής, νερού και αέρα.

Δευτέρα, 17 Σεπτεμβρίου 2018, 19:36

Έρευνα: Η καθημερινή λήψη ασπιρίνης δεν παρατείνει τη ζωή σε υγιείς ηλικιωμένους

Νέα έρευνα δεν ανακάλυψε όφελος για τους υγιείς ανθρώπους άνω των 70 ετών και τα χάπια αύξαναν τον κίνδυνο δυνητικά μοιραίας εσωτερικής αιμορραγίας.

Δευτέρα, 17 Σεπτεμβρίου 2018, 18:33

Εορτασμός παγκόσμιας ημέρας ευαισθητοποίησης για τη μυϊκή δυστροφία Duchenne

Κεντρικό θέμα της εκδήλωσης ήταν τα Διεθνή Πρότυπα Φροντίδας 2018, τα οποία αποτελούν την νεότερη έκδοση της ολιστικής κλινικής φροντίδας.

Δευτέρα, 17 Σεπτεμβρίου 2018, 17:20

Γυναικομαστία: οι πιο συχνές ερωτήσεις

H γυναικομαστία μπορεί να αντιμετωπιστεί αποτελεσματικά με τη συνδρομή του πλαστικής χειρουργικής.

Δευτέρα, 17 Σεπτεμβρίου 2018, 16:47

Εξατομικευμένη θεραπεία στον ογκολογικό ασθενή

Επιστημονικής ημερίδα συνδιοργανώνουν το 401 ΓΣΝΑ και η ΑΚΟΣ, την Παρασκευή 21 Σεπτεμβρίου στο αμφιθέατρο του 401 ΓΣΝΑ.

Δευτέρα, 17 Σεπτεμβρίου 2018, 16:41

Aνάκληση ψωμιού λόγω ευρωτίασης

πρόκειται για ψωμί σικάλεως, με εμπορική ονομασία “Maitre Jean Pierre Rye Bread”, σε συσκευασία των 500g, με ημερομηνίες λήξης 19.09.2018, 26.09.2018 και 03.10.2018.