Επιστήμη & Ζωή

Φίλτρα άρθρων

Παρασκευή, 12 Δεκεμβρίου 2025, 08:57

Ελπίδα για ασθενείς με υποτροπιάζον - ανθεκτικό πολλαπλούν μυέλωμα [μελέτη]

Τα ευρήματα παρουσιάστηκαν στο συνέδριο της Αμερικανικής Αιματολογικής Εταιρείας με συμμετοχή της Θεραπευτικής Κλινικής  της Ιατρικής Σχολής του ΕΚΠΑ.

Τρίτη, 11 Νοεμβρίου 2025, 09:57

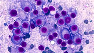
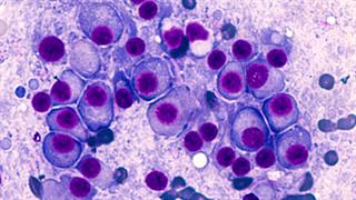
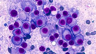
FDA: Έγκριση πρώτης θεραπείας για ασυμπτωματικό πολλαπλό μυέλωμα υψηλού κινδύνου

Η απόφαση βασίστηκε στα αποτελέσματα τυχαιοποιημένης κλινικής μελέτης, με πρώτο συγγραφέα τον καθηγητή Θάνο Δημόπουλο.

Παρασκευή, 31 Οκτωβρίου 2025, 10:00

Κλινικές μελέτες στην Αιματολογία - Νέες θεραπείες για πολλαπλό μυέλωμα και λεμφώματα

Η διευθύντρια του Αιματολογικού - Ογκολογικού Τμήματος του Θεαγένειου, Ειρήνη Κατωδρύτου, μιλάει στο iatronet.gr για το σήμερα και το αύριο στην αιματολογία, με αφορμή το 4ο Εκπαιδευτικό Σεμινάριο.

Τρίτη, 23 Σεπτεμβρίου 2025, 10:15

ΕΚΠΑ: Τι δείχνουν τα αποτελέσματα μελετών για το πολλαπλό μυέλωμα - Παρουσιάστηκαν σε διεθνές συνέδριο

Ανακοινώθηκαν τα πιο πρόσφατα δεδομένα αιχμής που αφορούν στη διάγνωση, πρόγνωση και θεραπεία.

Τετάρτη, 03 Σεπτεμβρίου 2025, 10:19

Παχυσαρκία και πολλαπλούν μυέλωμα

Ειδικοί του ΕΚΠΑ εξηγούν τι φέρνει στο φως μία πρόσφατη διεθνής μελέτη.

Παρασκευή, 01 Αυγούστου 2025, 09:16

Νέα έγκριση στην Ευρώπη για θεραπεία υποτροπιάζοντος - ανθεκτικού πολλαπλού μυελώματος

Ο καθηγητής Μελέτιος - Αθανάσιος Δημόπουλος ήταν πρώτος και κύριος συγγραφέας της σχετικής μελέτης.

Δευτέρα, 28 Ιουλίου 2025, 08:53

Κομισιόν: Έγκριση πρώτης θεραπείας για ασυμπτωματικό πολλαπλούν μυέλωμα υψηλού κινδύνου

Σκοπός είναι να προληφθεί η εξέλιξη σε συμπτωματική νόσο. Τι αναφέρουν επιστήμονες του Πανεπιστημίου της Αθήνας.

Τετάρτη, 09 Ιουλίου 2025, 11:07

Πολλαπλό μυέλωμα: Νέες κατευθυντήριες οδηγίες για διάγνωση και θεραπεία

 Πρωτοποριακή είναι η συμμετοχή της Θεραπευτικής Κλινικής ΕΚΠΑ.

Τετάρτη, 28 Μαΐου 2025, 08:59

Πολλαπλό μυέλωμα: Μείωση θνησιμότητας, αύξηση κρουσμάτων

Ιατροί του Πανεπιστημίου της Αθήνας συνοψίζουν τα πρόσφατα δεδομένα που δημοσιεύθηκαν από τη βάση επιδημιολογικών δεδομένων SEER των ΗΠΑ.

Τετάρτη, 26 Μαρτίου 2025, 09:42

Ο Μάρτιος, μήνας ευαισθητοποίησης για το πολλαπλούν μυέλωμα

Τι επισημαίνουν επιστήμονες του Πανεπιστημίου της Αθήνας για τις κλινικές μελέτες στις οποίες μπορούν να μετάσχουν ασθενείς.