Επιστήμη & Ζωή

Φίλτρα άρθρων

Πέμπτη, 26 Ιανουαρίου 2017, 16:31

Η ψυχική υγεία επηρεάζει τις πιθανότητες επιβίωσης από τον καρκίνο

Ερευνητές ανακάλυψαν ότι άνθρωποι με μεγαλύτερα επίπεδα ψυχικής δυσφορίας είχαν υψηλότερα επίπεδα θνησιμότητας από καρκίνο στο παχύ έντερο, στο πάγκρεας, στον οισοφάγο, στον προστάτη, καθώς και λευχαιμία.

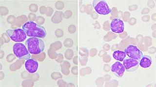
Τετάρτη, 05 Οκτωβρίου 2016, 19:50

Εξελίξεις στη θεραπεία των αιματολογικών κακοηθειών

Σήμερα έχουμε στη διάθεσή μας ισχυρά όπλα για να καταστήσουμε τη χρόνια λεμφοκυτταρική λευχαιμία μία ασθένεια αντιμετωπίσιμη για μεγάλο χρονικό διάστημα.

Δευτέρα, 19 Σεπτεμβρίου 2016, 17:29

Ανακαλύφθηκαν ουσίες για την αντιμετώπιση της οξείας μυελοειδούς λευχαιμίας

Ομάδα ουσιών φάνηκε να προκαλεί το θάνατο σε καρκινικά κύτταρα χωρίς τη χρήση της συνήθους χημειοθεραπείας.

Δευτέρα, 18 Ιουλίου 2016, 14:53

Νέα δεδομένα για την αντμετώπιση της Χρόνιας Μυελογενούς Λευχαιμίας

Στην 52η Ετήσια Συνάντηση της Αμερικανικής Εταιρείας Κλινικής Ογκολογίας (ASCO), η Novartis ανακοίνωσε τα πρώτα αποτελέσματα από το πρόγραμμα κλινικής δοκιμής Ύφεσης χωρίς Θεραπευτική Αγωγή (TFR) με Nilotinib.

Δευτέρα, 13 Ιουνίου 2016, 19:01

Νέα δεδομένα για τη θεραπεία της λευχαιμίας ενηλίκων

Η Θετική Γνωμοδότηση της CHMP βασίστηκε σε δεδομένα από την τυχαιοποιημένη, ανοικτή μελέτη Φάσης 3 RESONATE™-2.

Πέμπτη, 09 Ιουνίου 2016, 20:13

Οξεία μυελογενής λευχαιμία: Δεν είναι μια, αλλά 11 νόσοι

Έρευνα που δημοσιεύτηκε στο περιοδικό New England Journal of Medicine, ανακάλυψε ότι γενετικές διαφορές εξηγούν γιατί ορισμένοι ασθενείς ανταποκρίνονται πολύ καλύτερα στην αγωγή σε σχέση με άλλους.

Δευτέρα, 16 Μαΐου 2016, 13:25

Λίγο σάλιο σε µπατονέττα αρκεί για να γίνεις εθελοντής δότης µυελού των οστών

Το “How YOU can save a life”, εξηγεί πώς μπορεί να σωθεί μια ζωή με μεταμόσχευση μυελού των οστών και τον ρόλο του συμβατού δότη στη λευχαιμία.

Τρίτη, 16 Φεβρουαρίου 2016, 17:48

Λευχαιμία: Αξιοσημείωτα αποτελέσματα έχει πειραματική θεραπεία με Τ- κύτταρα

Πειραματική αγωγή στην οποία λευκά αιμοσφαίρια μετατρέπονται ώστε να στοχεύουν ορισμένα είδη καρκίνου είχαν αξιοσημείωτη επιτυχία, δήλωσαν ερευνητές.

Τρίτη, 08 Δεκεμβρίου 2015, 13:20

Εγκρίθηκε από την Ευρωπαϊκη Επιτροπή το blinatumomab για την οξεία λεμφοβλαστική λευχαιμία

Το blinatumomab είναι το πρώτο παρασκεύασμα αμφιειδικού (Bispecific) αντισώματος στρατολόγησης Τ-κυττάρων (BiTE®) που εγκρίνεται στην Ευρωπαϊκή Ένωση.

Δευτέρα, 07 Δεκεμβρίου 2015, 20:02

Ερευνητές κατά λευχαιμίας μετά από καρκίνο του μαστού

Ευρήματα φέρνουν ένα βήμα πιο κοντά στον εντοπισμό τρόπων πρόληψης της λευχαιμίας σε ασθενείς με καρκίνο στο μαστό.